Adenomatoid tumor arising from an unusual fallopian tube site: a case report
Nura Isala, Bismark Mateveke, Tatenda Zanele Mjanga, Lloyd Mangezi, Bothwell Takaingofa Guzha
Corresponding author: Nura Isala, Obstetrics and Gynecology Unit, University of Zimbabwe, Sally Mugabe Central Hospital, Harare, Zimbabwe 
Received: 22 Jun 2025 - Accepted: 08 Dec 2025 - Published: 18 Dec 2025
Domain: Obstetrics and gynecology
Keywords: Adenomatoid tumor, fallopian tube, benign neoplasm, case report
Funding: This work received no specific grant from any funding agency in the public, commercial, or not-for-profit sectors.
©Nura Isala et al. PAMJ Clinical Medicine (ISSN: 2707-2797). This is an Open Access article distributed under the terms of the Creative Commons Attribution International 4.0 License (https://creativecommons.org/licenses/by/4.0/), which permits unrestricted use, distribution, and reproduction in any medium, provided the original work is properly cited.
Cite this article: Nura Isala et al. Adenomatoid tumor arising from an unusual fallopian tube site: a case report. PAMJ Clinical Medicine. 2025;19:20. [doi: 10.11604/pamj-cm.2025.19.20.48398]
Available online at: https://www.clinical-medicine.panafrican-med-journal.com//content/article/19/20/full
Adenomatoid tumor arising from an unusual fallopian tube site: a case report
Nura Isala1,2,&, Bismark Mateveke1, Tatenda Zanele Mjanga1, Lloyd Mangezi2,
Bothwell Takaingofa Guzha1
&Corresponding author
Adenomatoid tumors (ATs) are rare benign neoplasms of mesothelial origin. In the female genital tract, the most common site is the uterus. Fallopian tube ATs are not common and are usually incidental findings. Histologically, the tumors have a plethora of patterns and can mimic other malignant or benign tumors. Herein we present a case of a woman of reproductive age whom we managed for chronic pelvic pain, whose imaging was consistent with bilateral adnexal cysts and was noted to have adenomatoid tumor upon review of histology after exploratory laparotomy. This case is reported for the rarity of the condition and highlights the complexities of managing pelvic pain.
Adenomatoid tumors (ATs) are benign tumors of mesothelial origin. Adenomatoid tumors (ATs) are mostly tumors of the male genital tract, with the most frequent site being the epididymis. However, they can also occur in the female genital tract, with predominance of the uterus. Occurrence in the fallopian tubes is a rarity, where they are found to be solitary and usually an incidental finding. Occasionally, they are reported to occur in extra genital sites such as the pancreas, heart, and adrenal glands [1]. Women in the reproductive age group are commonly affected, with a median age of presentation being 33 years [2]. The majority of patients are asymptomatic and are incidentally diagnosed and confirmed on histology evaluating them for other illnesses. Symptomatic women commonly present with chronic pelvic pain and abnormal uterine bleeding [3]. Adenomatoid tumors have a vast array of histo-morphological patterns and can be misinterpreted as other tumors. A clear distinction between AT and other tumors has a significant impact on patient management. This article was written in line with the CARE guidelines [4]. We present a case of an adenomatoid tumor in a young woman who presented with chronic pelvic pain.
Patient information: we present a case of a 32-year-old para 2 woman who presented with chronic pelvic pain for over two years. She was single and lived with her two sons. She worked as a hairdresser. She reported pelvic pain with a score of 6 using the numerical rating scale. The pain was relieved by over-the-counter analgesics, but had worsened in the 2 months prior to presentation. The pain was worsened with activity. There were no associated gastrointestinal or urinary symptoms. She had no other chronic illnesses and no personal or family history of malignancies. She had a regular 28-day menstrual cycle, moderate flow with no dysmenorrhea. She was not on any contraceptives and she did not desire to have more children. She reported not being sexually active for six months leading up to her presentation. Her index screening for cervical cancer screening was at the age of 32 with Visual Inspection with Acetic acid and Cervicography (VIAC). The results were negative. She denied any history of treatment for sexually transmitted infections.
Timeline of current episode: in 1992, when the patient was six months old, she was diagnosed with intussusception, which was successfully managed by surgery. Nine years before the current presentation (in 2016), the patient was pregnant for the first time and had a caesarean-section for fetal distress and delivered a healthy baby. Five years later (in 2021), she had a repeat caesarean-section due to a history of a previous caesarean delivery. This also resulted in a healthy baby. The patient started experiencing pelvic pain in 2023. Upon investigation, she was diagnosed with bilateral ovarian cysts and was managed surgically: an open ovarian cystectomy was done; however, she continued to have chronic pelvic pain until the current presentation in March 2025.
Clinical findings: her general and abdominal examinations were unremarkable.
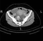
Diagnostic assessment: laboratory investigations revealed a microcytic anemia (hemoglobin count of 9.9g/dl and mean corpuscular hemoglobin of 67 Fl). Her Ca 125 was 10 U/ml, and other tumor markers were negative. She had normal renal and liver function. An ultrasound scan (USS) of the pelvis showed multiple pelvic cysts, a right adnexal cyst measured 60 mm x 43 mm, and a left adnexal cyst measuring 52 mm x 31 mm was noted. Risk of malignancy index was 10. Computed Tomography (CT) images also showed the pelvic cysts around the rectum, sigmoid colon, and uterus (Figure 1, Figure 2, Figure 3)
Diagnosis: benign ovarian cysts in a background of multiple pelvic cysts and also considered endometriomas, functional cysts and pelvic inflammatory disease (PID).
Therapeutic interventions: she was commenced on oral iron supplements, and her pain was managed with oral non-steroidal anti-inflammatory drugs (NSAIDs) while she waited for a planned exploratory laparotomy and possible ovarian cystectomy. The ideal surgical plan would have been laparoscopic surgery; however, laparotomy was chosen as the surgical route due to faulty laparoscopic equipment at our hospital at that time. At laparotomy, a Pfannenstiel incision was made following the previous caesarean-section scar. Entry into the abdomen was difficult, and bilateral Maylard incisions were made to gain access to the abdomen and pelvis. Significant pelvic adhesive disease from previous surgeries was noted. Pelvic adhesiolysis was done. Multiple peritoneal inclusion cysts with clear fluid were noted in the pelvis, and these were drained, and the fluid was sent for cytology. A right ovarian cyst measuring about 6 cm x 4 cm and a grossly distended right fallopian tube, morbidly adhered to the cyst, were also noted. Right ovarian cystectomy and salpingectomy were done. Samples were sent for histology. The left fallopian tube and left ovary were noted to be grossly normal, as were the uterus and urinary bladder. Pouch of Douglas was unremarkable.
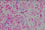
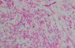
Follow-up and outcome of interventions: the patient had an uneventful recovery and was discharged home three days post-operatively. Histological review showed: a para-tubal cyst and two sections of the right fallopian tube with a lesion on the periphery, which had cells that were moderately eosinophilic with multiple vacuoles, giving signet ring cell morphology. The cells were arranged in tubules and cords. The lesion had no mitotic activity, and no features of malignancy were seen. Features were consistent with an adenomatoid tumor of the fallopian tube. No malignant cells were seen in fluid from resected pelvic and right ovarian cysts. We made a final diagnosis of pelvic inclusion cysts and an incidental adenomatoid tumor of the fallopian tube. The patient was reassured that she had a benign tumor, which was resected, and no further interventions were necessary. Contraception advice was given, and the patient was scheduled for review in three months. Upon review in the outpatient clinic, three months post-surgery, the patient was feeling much better. And pelvic pain had markedly subsided. She reported intermittent mild pain with a score of 2 (Figure 4, Figure 5)
Patient perspective: the patient reported satisfaction following the procedure and histology results,
Informed consent: written informed consent was obtained from the patient to publish her de-identified medical information. A copy of the written consent is available for review by the Editors of this journal upon request.
We have presented a case of a woman of reproductive age with prior multiple pelvic surgeries who presented with chronic pelvic pain. Her pelvic USS findings were consistent with bilateral adnexal cysts. She was found to have an adenomatoid tumor arising from the right fallopian tube following histological evaluation. This case is reported for the rarity of the condition and highlights the complexities of managing pelvic pain, as well as highlighting that adenomatoid tumors should be considered as differential diagnoses in women presenting with chronic pelvic pain. Fallopian tube adenomatoid tumors are rare, with an incidence of 0.5% of all ATs in the female. In the female genital tract, the uterus is the commonest site [2]. In our case, the tumor was an incidental finding. The incidental nature of the diagnosis is consistent with the majority of cases of adenomatoid tumors in the female genital tract [5].
Macroscopically, the tumors may resemble a leiomyoma and are firm, light grey masses with no capsule. Histologically, tumors cells are arranged in cords and tubules (trabecular arrangement) that are lined by cuboidal cells. The epithelial cells have large vacuoles that give them a signet ring appearance, mimicking signet ring cell carcinoma [6]. The tumors may also grow as gland-like cystic spaces lined by flattened cells in a background of connective tissue. Other presentations include angiomatoid, adenoid, and solid patterns [7]. In a study of 44 cases of ATs from female and male genital tracts, Sangoi and co-workers demonstrated that distinctive threadlike strands crossing the tubular spaces are always present [2]. Bland cytoplasm and lack of mitotic activity distinguish these tumors from malignant neoplasms. Differential diagnoses include signet ring cell tumor, lipoleiomyoma, mesothelioma, lymphangioma, and salpingitis isthimica nodosa [8]. Immunohistochemistry profile helps in improving diagnosis. ATs are typically positive for cytokeratin markers and negative for vascular markers [2]. Due to financial constraints, immunohistochemistry was not available to our patient. The prognosis of adenomatoid tumors is excellent, and no recurrences have been noted in the literature [9]. Therefore, no surgical radicality was necessary in our case. LLaparotomy approach was chosen over laparoscopic approach due to unavailability of functional laparoscopic equipment.
Adenomatoid tumors are rare in the fallopian tubes; however, they should be considered as a differential in patients presenting with chronic pelvic pain. Due to a wide array of histological patterns, adenomatoid tumors can be misdiagnosed as other benign or malignant tumors. Distinguishing adenomatoid tumors from the other differentials is therefore crucial, and with a conclusive diagnosis of adenomatoid tumor, surgical radicality is not necessary.
The authors declare no competing interests.
Patient management: Bismark Mateveke, Nura Isala, Lloyd Mangezi, Tatenda Zanele Mjanga, Bothwell Takaingofa Guzha. Data collection: Nura Isala, Lloyd Mangezi and Tatenda Zanele Mjanga. Manuscript drafting: Nura Isala. Manuscript revision: Nura Isala, Bismark Mateveke, Lloyd Mangezi, Tatenda Zanele Mjanga and Bothwell Takaingofa Guzha. All the authors have read and agreed to the final manuscript.
Figure 1: axial computed tomography image of the pelvis showing pelvic cysts
Figure 2: coronal computed tomography image of the pelvis and abdomen showing pelvic cysts
Figure 3: sagittal computed tomography image of the pelvis and abdomen showing pelvic cysts
Figure 4: adenomatoid tumor; histology of right fallopian tube, a low power image showing trabecular arrangement of tumor cells (blue circles)
Figure 5: adenomatoid tumor. histology of right fallopian tube, high power image showing signet ring morphology (black arrows) and cystic spaces (blue arrows)
We thank the Sally Mugabe Hospital theater staff and ward A2 staff for providing care for the patient.
- Amérigo J, Amérigo-Góngora M, Giménez-Pizarro A, Velasco FJ, Gallardo SP, González-Cámpora R. Leiomyo-adenomatoid tumor of the uterus: a distinct morphological entity. Arch Gynecol Obstet. 2010 Oct;282(4):451-4. PubMed | Google Scholar
- Sangoi AR, McKenney JK, Schwartz EJ, Rouse RV, Longacre TA. Adenomatoid tumors of the female and male genital tracts: a clinicopathological and immunohistochemical study of 44 cases. Mod Pathol. 2009 Sep;22(9):1228-35. PubMed | Google Scholar
- Thobakgale NM, Khaba MC. The Incidental Diagnosis of Adenomatoid Tumour on Fallopian Tubes Submitted for Tubal Ligation at a Tertiary Laboratory in Northern Pretoria, South Africa. Clin Pathol. 2024;17:2632010X241230265. PubMed | Google Scholar
- Gagnier JJ, Kienle G, Altman DG, Moher D, Sox H, Riley D et al. The CARE Guidelines: Consensus-based Clinical Case Reporting Guideline Development. Glob Adv Health Med. 2013;2(5):38-43. PubMed | Google Scholar
- Lao IW, Wang J. Adenomatoid tumor of the small intestine: the first case report and review of the literature. Int J Surg Pathol. 2014 Dec;22(8):727-30. PubMed | Google Scholar
- Geetika G, Syed A, Arati I, Abraham L. Adenomatoid Tumor in the Fallopian Tube - A Rare Case. Int J Pathol Clin Res. 2019 Jul 27;5(2). Google Scholar
- Ersan Erdem B, Yaprak Bayrak B, Vural C, Muezzinoglu B. Non-random adenomatoid tumours of the female genital system: A comparative clinicopathologic analysis of 14 cases. Ann Diagn Pathol. 2020 Aug;47:151553. PubMed | Google Scholar
- Kolin DL, Nucci MR. Fallopian Tube Neoplasia and Mimics. Surg Pathol Clin. 2019 Jun;12(2):457-79. PubMed | Google Scholar
- Mitta K, Michos G, Athanasiadou E, Papanikolaou E, Tsakiridis I, Mamopoulos A. Adenomatoid tumor of the fallopian tube: A case report and a review of the literature. International Journal of Surgery Case Reports. 2024 Oct;123:110268. PubMed | Google Scholar








