Mélanome choroïdien primitif au Burkina Faso: enjeux diagnostiques et thérapeutiques (à propos d´un cas)
Drissa Bengaly, Windinmanégdé Pierre Djiguimdé, Aïssatou Tamboura, Solo Traoré, Emanuel Bamogo, Tierinyê Armand Meda, Alassane Traoré, Ahgbatouhabéba Zabsonré-Ahnoux
Corresponding author: Drissa Bengaly, Centre Hospitalier Universitaire Bogodogo, Ouagadougou, Burkina Faso 
Received: 21 Dec 2025 - Accepted: 07 Feb 2026 - Published: 24 Feb 2026
Domain: Ophthalmology
Keywords: Mélanome choroïdien primitif, énucléation, immunohistochimie, cas clinique
Funding: Ce travail n'a reçu aucune subvention spécifique de la part des organismes de financement public, commercial ou à but non lucratif.
©Drissa Bengaly et al. PAMJ Clinical Medicine (ISSN: 2707-2797). This is an Open Access article distributed under the terms of the Creative Commons Attribution International 4.0 License (https://creativecommons.org/licenses/by/4.0/), which permits unrestricted use, distribution, and reproduction in any medium, provided the original work is properly cited.
Cite this article: Drissa Bengaly et al. Mélanome choroïdien primitif au Burkina Faso: enjeux diagnostiques et thérapeutiques (à propos d´un cas). PAMJ Clinical Medicine. 2026;20:12. [doi: 10.11604/pamj-cm.2026.20.12.50715]
Available online at: https://www.clinical-medicine.panafrican-med-journal.com//content/article/20/12/full
Case report 
Mélanome choroïdien primitif au Burkina Faso: enjeux diagnostiques et thérapeutiques (à propos d´un cas)
Mélanome choroïdien primitif au Burkina Faso: enjeux diagnostiques et thérapeutiques (à propos d'un cas)
Primary choroidal melanoma in Burkina Faso: diagnostic and therapeutic challenges (a case report)
Drissa Bengaly1,&, Windinmanégdé Pierre Djiguimdé2, Aïssatou Tamboura2,
Solo Traoré3,
Emanuel Bamogo4,
Tierinyê Armand Meda4, Alassane Traoré5, Ahgbatouhabéba Zabsonré-Ahnoux5
&Auteur correspondant
Nous rapportons le cas d'un homme de 59 ans, sans antécédents pathologiques, qui a consulté pour une diminution progressive de la vision de l'œil droit associée à des phosphènes. L'examen clinique retrouvait une acuité visuelle corrigée de 1/20 à l'œil droit. Le segment antérieur était normal. Le fond d'œil montrait une lésion pigmentée para-maculaire supérieure. L'imagerie multimodale, incluant l'angiographie à la fluorescéine, l'échographie oculaire en mode B et l'imagerie par résonnance magnétique (IRM), a mis en évidence une tumeur choroïdienne vascularisée. L'œil gauche était normal. Le diagnostic de mélanome choroïdien à cellules fusiformes a été confirmé par l'examen anatomopathologique après énucléation. Aucun signe métastatique n'a été observé après un an de suivi. Le mélanome choroïdien, bien que rare, est une réalité en Afrique. Son diagnostic demeure un défi en raison du manque de plateaux techniques spécialisés. Les options thérapeutiques restent limitées, et l'accès aux traitements conservateurs, notamment la protonthérapie, constitue un défi majeur.
We here report the case of a 59-year-old man with no past medical history who presented with progressive vision loss in his right eye associated with phosphenes. Clinical examination revealed a best-corrected visual acuity of 1/20 in the right eye. The anterior segment was unremarkable. Fundus examination showed a superior para-macular pigmented lesion. Multimodal imaging, including fluorescein angiography, B-scan ultrasonography, and magnetic resonance imaging (MRI), demonstrated vascularized choroidal tumor. The left eye was normal. The diagnosis of spindle-cell choroidal melanoma was confirmed by histopathological examination following enucleation. At one-year follow-up, no evidence of metastasis was observed. Although rare, choroidal melanoma is a clinical reality in Africa. Its diagnosis remains challenging because of the scarcity of specialized diagnostic facilities. Therapeutic options are restricted, and access to conservative treatments, particularly proton therapy, represents a major challenge.
Key words: Primary choroidal melanoma, enucleation, immunohistochemistry, case report
Le mélanome primitif de la choroïde (MPC) est une pathologie rare; cependant il représente la tumeur intraoculaire maligne la plus fréquente chez l'adulte. Sa fréquence est estimée entre 6 et 7 cas pour un million d'habitants par an [1]. Cette incidence varie selon les régions et dépend de l'origine ethnique. Les mélanomes oculaires touchent préférentiellement les caucasiens et sont beaucoup plus rares dans les autres groupes raciaux. En Afrique, cette maladie demeure exceptionnelle. Le mélanome oculaire est particulièrement rare chez le mélanoderme, avec un rapport de 80 pour 1 entre les blancs et les noirs dans une série sud-africaine [2]. Sa gravité réside principalement dans son risque métastatique, d'où l'importance du diagnostic précoce pour le pronostic visuel et vital [3]. Le diagnostic repose sur un faisceau d'arguments cliniques et d'imageries orientant vers le mélanome choroïdien, mais la confirmation nécessite l'examen histopathologique complété par l'étude immunohistochimique [4]. Dans notre contexte, la faible incidence rapportée, associée aux difficultés d'accès aux imageries spécialisées et aux options thérapeutiques, constitue un véritable défi. Le but de notre travail est de rapporter un cas de mélanome choroïdien observé au Burkina Faso, en mettant en lumière les défis diagnostiques rencontrés dans ce contexte ainsi que les options thérapeutiques disponibles.
Il s'est agi d'une étude observationnelle de type cas clinique portant sur un cas de mélanome choroïdien. Un examen ophtalmologique complet a été réalisé. La présomption diagnostique reposait sur les données cliniques et l'imagerie oculaire. Le bilan d'extension initial comprenait une angiographie rétinienne, une échographie oculaire et hépatique, ainsi qu'une imagerie par résonance magnétique (IRM) orbito-cérébrale. Le traitement a consisté en une énucléation en première intention, en raison de l'absence de traitements conservateurs disponibles dans notre pays, avec confirmation histologique. Une surveillance semestrielle par échographie hépatique a été instaurée. L'anonymat et la confidentialité des données ont été respectés conformément à la déclaration d'Helsinki. Le consentement éclairé du patient a été obtenu.
Information du patient: il s'est agi d'un homme âgé de 59 ans, sans antécédents pathologiques particuliers, qui a consulté pour une baisse progressive de la vision de l'œil droit, associée à des phosphènes intermittents.
Résultats cliniques: l'examen clinique a retrouvé une acuité visuelle corrigée de 1/20 à droite (OD) et 10/10 à gauche (OG). Le segment antérieur était normal aux deux yeux, avec une pression intraoculaire (PIO) mesurée à 13 mm Hg de façon bilatérale. L'examen du fond d'œil droit a montré une masse solitaire, pigmentée, hétérochrome, ovoïde, en relief, d'environ trois diamètres papillaires, localisée en para-maculaire supérieure. Cette lésion refoulait l'arcade vasculaire rétinienne supérieure entourée d'un halo périlésionnel pâle évocateur d'une probable exsudation (Figure 1 A).
Démarche diagnostique: l'angiographie à la fluorescéine a montré une lésion hypo-fluorescente au temps précoce, devenant hyper-fluorescente au temps tardif, avec persistance d'un centre hypo-fluorescent (Figure 1 B). L'échographie oculaire (Figure 2) ainsi que l'imagerie par résonance magnétique (Figure 3) ont révélé une masse choroïdienne, saillante, en dôme ou en champignon, bien limitée para-maculaire supérieure, compatible avec une tumeur intraoculaire. Les caractéristiques qui ont été rapportés sont: masse tissulaire hyperéchogènes, hétérogène, de contours nets, hypervascularisée, siégeant à droite du nerf optique, mesurant 7x7 mm.
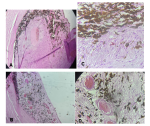
Le diagnostic de mélanome choroïdien a été évoqué devant l'aspect classique « en dôme ou en champignon » et vascularisé au Doppler. Le patient a été informé de risque évolutif ainsi que des options thérapeutiques envisageables dans notre contexte. Le bilan d'extension (IRM, échographie hépatique et abdomino-pelvienne) n'a pas retrouvé de localisations secondaires. L'examen anatomopathologique a confirmé un mélanome choroïdien, constitué de cellules fusiformes avec atypies cytonucléaires et mitoses (Figure 4). Après coloration à l'hématoxyline-éosine, la tumeur mesurait 1 cm de long et 0,4 cm d'épaisseur. Elle a été classée pT2aNxMx selon la classification AJCC 8e édition (2017). L'étude immunohistochimique a montré une positivité pour HMB45 et PS100, confirmant l'origine mélanocytaire (Figure 5).
Intervention thérapeutique et suivi: une énucléation de l'œil droit a été réalisée après consentement éclairé du patient. Une prothèse oculaire a été posé après cicatrisation conjonctivale. L'évolution postopératoire a été favorable, sans métastase détectée après un recul d'un an.
Perspective du patient: après énucléation suivie de la mise en place d'une prothèse oculaire, le patient a obtenu un bon résultat esthétique et une qualité de vie satisfaisante, malgré la perte fonctionnelle de l'œil traité. La surveillance oncologique régulière reste indispensable en raison du risque métastatique persistant, principalement hépatique. Le rythme de surveillance instauré était: un contrôle d'échographie hépatique tous les 6 mois pendant les premières années puis une fois par an selon évolution. La rééducation visuelle, la protection de l'œil controlatéral et un éventuel accompagnement psychologique constituent des éléments importants de la prise en charge à long terme.
Consentement du patient: le consentement du patient a été obtenu.
Cette observation présente les limites inhérentes à un cas clinique isolé. Le retard diagnostique et l'absence de techniques thérapeutiques conservatrices ont conduit à une énucléation en première intention. L'absence d'analyses moléculaires pronostiques et le recul évolutif limité ne permettent pas une évaluation complète du risque métastatique à long terme. Malgré ces limites, le résultat obtenu mérite d'être commenté. Le mélanome choroïdien (MC) constitue la tumeur maligne intraoculaire primitive la plus fréquente chez l'adulte. Il représente la majorité des mélanomes uvéaux, et environ 3% à 5% de tous les mélanomes [5,6]. Cette tumeur demeure rare chez l'enfant ainsi que chez les sujets mélanodermes.
Au Burkina Faso, nous rapportons un cas observé chez un homme de 59 ans. Des cas isolés ont été décrits dans les populations mélanodermes d'Afrique, notamment au Mali et en Côte d'Ivoire [7]. L'âge moyen au diagnostic est compris entre 59 à 62 ans; avec une prédominance masculine rapportée par nombre d'auteurs [5]; ce qui est concordant avec notre observation. Le patient a été admis pour une baisse de l'acuité visuelle de l'œil droit associée à des phosphènes. Le MCP est souvent asymptomatique à ses débuts, ce qui peut retarder le diagnostic. Les formes symptomatiques signalent généralement une baisse de l'acuité visuelle, des phosphènes (10%), un scotome, des myodésopsies, ou une amputation du champ visuel, le plus souvent due à un décollement exsudatif de la rétine [8]. L'apparition de ces signes traduit souvent un retard diagnostic.
L'examen du fond d'œil complété par l'imagerie oculaire, ont montré une lésion compatible avec un mélanome choroïdien pigmenté, volumineux, de morphologie classique en dôme ou en « champignon ». Cet aspect est considéré comme quasi pathognomonique du mélanome choroïdien en échographie oculaire [9]. La choroïde représente le site le plus fréquent de survenue du mélanome uvéal, regroupant environ 90% des cas. Le fond d'œil reste un examen fondamental pour le diagnostic et l'évaluation initiale du MCP.
L'échographie reste un outil clé, peu coûteux, permettant d'évaluer la hauteur tumorale et la réflectivité interne. L'angiographie à la fluorescéine, bien que non indispensable au diagnostic, peut contribuer à mettre en évidence la vascularisation tumorale et à différencier certaines lésions simulant un mélanome. Pour certains auteurs, l'IRM permet de préciser les caractéristiques de la lésion, son extension au nerf optique et aux structures orbitaires, et à orienter la stratégie thérapeutique [10].
Le traitement du MCP demeure complexe et doit être individualisé selon la localisation anatomique, la taille tumorale et l'existence d'une extension systémique. Dans notre contexte, les options thérapeutiques restent limitées, et l'énucléation demeure le traitement de référence dans la majorité des cas, bien que cette décision soit particulièrement difficile pour le patient comme pour le praticien.
Les stratégies thérapeutiques actuelles privilégient les approches conservatrices notamment la protonthérapie, lorsque cela est possible, surtout pour les tumeurs de petite à moyenne taille, afin de préserver l'œil et potentiellement la vision [5]. L'analyse histopathologique reste l'examen clé, avant toute option conservatrice. Elle permet d'affirmer le diagnostic du mélanome choroïdien, d'évaluer les critères histopronostiques et de préciser l'extension topographique [6]. Cependant, la réalisation d'un prélèvement cytologique sur une tumeur intraoculaire reste controversée, en raison du risque de dissémination tumorale, de décollement rétinien et d'hémorragie.
En l'absence d'alternative conservatrice et d'extension locorégionale, une énucléation a été réalisée chez notre patient, suivie d'une surveillance clinique trimestrielle et paraclinique (échographie hépatique et abdominopelvienne) semestrielle pendant un an. Le pronostic vital est fortement lié à la précocité du diagnostic. Les examens complémentaires nécessaires pour le diagnostic demeurent coûteux et souvent inaccessibles dans notre contexte. En effet, ces examens sont entièrement à la charge du patient. Leur coût élevé, combiné à l'absence d'assurance maladie universelle, retardent souvent le diagnostic et la prise de décision thérapeutique. Ces contraintes influencent directement le pronostic visuel et vital.
Le mélanome choroïdien, bien que rare, est une réalité en Afrique. Son diagnostic demeure un défi en raison du manque de plateaux techniques spécialisés, souvent indisponibles ou financièrement inaccessibles, entraînant un retard dans la prise en charge. Les options thérapeutiques restent limitées, et l'accès aux traitements conservateurs tels que la radiothérapie représente encore un défi majeur. Le renforcement du système de santé, notamment à travers la mise en œuvre d'une couverture sanitaire universelle au Burkina Faso, apparaît essentiel pour améliorer le diagnostic précoce et la prise en charge adaptée de cette pathologie.
Les auteurs ne déclarent aucun conflit d'intérêts.
Tous les auteurs ont contribué à ce travail et ils ont lu et approuvé la version finale du manuscrit.
Figure 1: A) lésion hétérochrome; B) angiographie à la fluorescéine: lésion hypo-fluorescente au temps précoce et hyper-fluorescente au temps tardif
Figure 2: échographie oculaire montrant une lésion en relief, d'aspect classique en dôme ou en champignon, vascularisée au doppler
Figure 3: imagerie par résonnance magnétique cérébro-orbito-oculaire: A) coupe horizontale; B) coupe sagittale montrant une masse intraoculaire droite
Figure 4: histologie: (A, B) (grossissement intermédiaire), les coupes histologiques montrant une prolifération mélanocytaire choroïdienne en nappes et faisceaux, à stroma fibreux peu abondant et richement vascularisé; (C, D) (fort grossissement) cellules fusiformes de taille moyenne à cytoplasme amphiphile chargé de pigment mélanique; noyaux ovoïdes, hyperchromatiques, aux contours irréguliers, parfois masqués par le pigment
Figure 5: immunohistochimie (IHC): (A, B) IHC S100 montrant un marquage nucléaire diffus et intense des cellules tumorales (grossissements intermédiaire et fort); C) IHC HMB45 montrant un marquage cytoplasmique intense des cellules tumorales
- Rouic L, Tick S, Cohen S-Y, Lumbroso LL, Sarah T. Tumeurs choroïdiennes et rétiniennes. Rétine. 2012;8:72-82.
- Miller B, Abrahams C, Cole GC, Proctor NS. Ocular malignant melanoma in South African blacks. Br J Ophthalmol. 1981 Oct;65(10):720-2. PubMed | Google Scholar
- Laftimi Z, Zamzami S, Ettouri S, Daghrouj G, El Maaloum L, Allali B et al. Mélanome choroïdien: à propos d'un cas. IOSR J Dent Med Sci. 2023;224(4):37-39.
- Berrada S, Belbachir A, Ahouissouss C, Ghazza A, Moutaouakil A, Rais H. Mélanome choroïdien primitif: à propos d'une observation anatomo-clinique. Int J Adv Res. 6(11):980-984. PubMed | Google Scholar
- Miano DI, Weiner A, Capone A Jr. Diagnosis and management of choroidal melanoma. EyeNet Mag. 2024;28:5.
- Delgado-Ramos GM, Thomas F, VanderWalde A, King B, Wilson M, Pallera AM. Risk factors, clinical outcomes, and natural history of uveal melanoma: a single-institution analysis. Med Oncol. 2019 Jan 21;36(2):17. PubMed | Google Scholar
- Napo A, Guirou N, Malé I, Tounkara C, Conaré I et al. Problématique de la prise en charge du mélanome choroïdien: à propos de deux cas à l'IOTA. Rev SOAO. 2015;28-31.
- Kallel R, Khabir A, Ben Zina Z, Makni S, Chaabouni S, Feki J et al. Mélanome primitif de la choroïde: étude de 12 cas. Oncologie. 1 déc 2010;12(1):125-31.
- Lipski A, Lakotka N, Riechardt A, Willerding G, Heufelder J, Türkmen S et al. Diagnostik und Therapie choroidaler Melanome. Klin Monbl Augenheilkd. 2013 Oct;230(10):1005-19. German. PubMed | Google Scholar
- Bond JB, Haik BG, Mihara F, Gupta KL. Magnetic resonance imaging of choroidal melanoma with and without gadolinium contrast enhancement. Ophthalmology. 1991 Apr;98(4):459-66. PubMed | Google Scholar
Search
This article authors
On Pubmed
On Google Scholar
Citation [Download]
Navigate this article
Similar articles in
Key words
Tables and figures
Figure 4: histologie: (A, B) (grossissement intermédiaire), les coupes histologiques montrant une prolifération mélanocytaire choroïdienne en nappes et faisceaux, à stroma fibreux peu abondant et richement vascularisé; (C, D) (fort grossissement) cellules fusiformes de taille moyenne à cytoplasme amphiphile chargé de pigment mélanique; noyaux ovoïdes, hyperchromatiques, aux contours irréguliers, parfois masqués par le pigment






