Duplicated collecting system with severe hydronephrosis and ectopic ureter insertion in the adrenal gland: two case reports
Benjamin Akinkang, Bentil Awe Wewoli, Justine Dakurah
Corresponding author: Benjamin Akinkang, Department of Pathology, University for Development Studies, Tamale, Ghana 
Received: 02 Nov 2025 - Accepted: 08 Dec 2025 - Published: 02 Mar 2026
Domain: Laboratory medicine,Pediatric surgery,Urology
Keywords: Duplicated ureters, upper pole moiety, hydronephrosis, nephrectomy, pelvic ureteric junction obstruction, case report
Funding: This work received no specific grant from any funding agency in the public, commercial, or not-for-profit sectors.
©Benjamin Akinkang et al. PAMJ Clinical Medicine (ISSN: 2707-2797). This is an Open Access article distributed under the terms of the Creative Commons Attribution International 4.0 License (https://creativecommons.org/licenses/by/4.0/), which permits unrestricted use, distribution, and reproduction in any medium, provided the original work is properly cited.
Cite this article: Benjamin Akinkang et al. Duplicated collecting system with severe hydronephrosis and ectopic ureter insertion in the adrenal gland: two case reports. PAMJ Clinical Medicine. 2026;20:13. [doi: 10.11604/pamj-cm.2026.20.13.50060]
Available online at: https://www.clinical-medicine.panafrican-med-journal.com//content/article/20/13/full
Case report 
Duplicated collecting system with severe hydronephrosis and ectopic ureter insertion in the adrenal gland: two case reports
Duplicated collecting system with severe hydronephrosis and ectopic ureter insertion in the adrenal gland: two case reports
&Corresponding author
Duplicated collecting systems with adrenal gland ureteric insertion are extremely rare and present significant diagnostic and surgical challenges. This report describes two paediatric cases from a tertiary hospital in Ghana. The first involved a 3-year-old with progressive abdominal distension initially thought to have pelvic-ureteric junction obstruction; surgery instead revealed a duplicated left kidney with the upper moiety ureter inserting into the adrenal gland and lower moiety obstruction. The second case, a 5-year-old boy, presented with abdominal distension, intermittent flank pain and an undescended testis. Imaging showed severe hydronephrosis, and intraoperatively, the upper moiety ureter inserted into the adrenal gland, while the lower moiety drained into the bladder with reflux. Both children required nephrectomy, with uneventful recovery. These cases show that such anomalies may present with nonspecific symptoms, and imaging may miss ectopic insertion. The absence of antenatal detection highlights the need for routine prenatal ultrasonography for early diagnosis.
Ureteral duplication is one of the most common congenital anomalies of the urinary tract, with an estimated incidence of approximately 1% in the general population [1]. This condition arises from incomplete or abnormal development of the ureteric bud during embryogenesis, leading to either complete or partial duplication of the ureter [1,2]. While many cases remain asymptomatic and are discovered incidentally, duplicated ureters can occasionally result in clinical complications such as recurrent urinary tract infections, vesicoureteral reflux, hydronephrosis, or ureterocele, especially in cases of ectopic ureteral insertion [2,3]. The clinical presentation, diagnostic approach, and management vary depending on the type and severity of the duplication and its associated complications [4]. We report two cases of complete ureteral duplication that were managed in our facility, highlighting the diagnostic challenges and considerations for appropriate management.
Patient 1
Patient information: a 3-year-old patient was referred from a primary peripheral facility to Tamale Teaching Hospital (TTH) with a history of abdominal distention lasting for 2 years. Before the referral, the parents noticed a gradually progressive abdominal enlargement over two years without other significant symptoms. They initially used traditional herbal treatments, including potions and oral remedies. When no notable improvements occurred, they visited their primary health facility, which referred them to the Tamale Teaching Hospital for further management. The parents could not recall any intermittent, acute, or severe flank or abdominal pain. There was no history of fever, anorexia, nausea, haematuria, or vomiting. The review of systems was unremarkable. The mother reportedly had regular antenatal visits but could not recall any prenatal scans or their results. She delivered at home.
Clinical findings: on physical examination, the child appeared cheerful with grossly asymmetrical abdominal distention. The swelling was slightly more pronounced on the left side, with visible scarification marks from the herbal treatment. Bowel sounds were present and normal. The rest of the systemic examination was within normal limits.
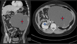
Diagnostic assessment: an abdominopelvic ultrasound scan revealed severe left hydronephrosis caused by uteropelvic junction (UPJ) obstruction. An abdominopelvic computer tomography (CT) scan, as shown in Figure 1, indicates severe left hydronephrosis, possibly due to uteropelvic junction obstruction. A full blood count and renal function test were done, and were seen to be normal.
Diagnosis: a diagnosis of left severe hydronephrosis secondary to UPJ obstruction was made.
Therapeutic intervention: a percutaneous nephrostomy tube was passed to decompress the abdomen initially. Together with continuous intravenous hydration, a total of 6 L was drained over the first 24 hours of admission. Subsequently, the patient was prepared for a nephrectomy, and the findings, as seen in Figure 2 below, were: 1) left double moiety kidney: with the upper moiety´s ureters inserting into the region of the left suprarenal gland. The lower moiety was blind ending at the UPJ; 2) sac-like left kidney, non-functional, which was removed; 3) left lower moiety ureter ending blindly in the renal pelvis, suggestive of complete UPJ-Obstruction.
Follow-up outcomes of intervention: the patient recovered uneventfully and was discharged on post-operative day 7. Postoperative follow-up 3 weeks after surgery was unremarkable; the child was doing well, renal function was within normal range, wound healed unremarkably.
Patient´s perspective: the parents of the patient were so happy and felt relieved that the child's abdominal distension was down, and also with the recovery from surgery.
Informed consent: written consent was given for this publication by the patient and both parents.
Patient 2
Patient´s information: a 5-year-old male was referred to the urology clinic with complaints of severe abdominal distension, which has been gradual from birth. The distension has since increased in size and about 6 months ago became associated with intermittent right flank pain, which is said to be constant, non-radiating, with no known alleviating or aggravating factors. The Pain is also said to be moderate in severity. Patient, however, denies any history of hematuria, weight loss, anorexia or vomiting. The child was also said to be born with only the left testis on the left, right scrotum was empty.
Clinical findings: physical examination reveals a young male child not in obvious pain or respiratory distress, afebrile, no pallor, no jaundice, no cyanosis. The hydration status was good. Cardiopulmonary examination was normal. The abdomen was grossly distended, moved with respiration, soft and non-tender. The right kidney was grossly enlarged, ballotable, and bimanually palpable. There was normal bowel sound. The genital examination revealed a poorly developed scrotum with no scrotal rugae. The right scrotum is empty, the left testis was, however, palpable.
Diagnostic assessment: laboratory investigation shows normal full blood count and renal function, as well as sterile urine cultures. The abdominal CT scan shown in Figure 3 shows Grade 4 hydronephrosis with severe hydroureters of the right and Grade 2 hydronephrosis on the left.
Diagnosis: a diagnosis of congenital right mega ureter with grade 4 hydronephrosis and right undescended testis was made.
Therapeutic intervention: an emergency nephrostomy tube was passed to the right kidney, which drained about 7 L of clear urine. The parents were then counselled for the right nephroureterectomy on account of severe hydronephrosis and a dysplastic kidney. The patient was draped and prepped under general anaesthesia, an extended midline incision was made at laparotomy, and the following findings, as seen in Figure 4, were made: 1. Lower moiety ureter insertion in the bladder with moderate dilatation consistent with vesicoureteric reflux with reflux nephropathy. 2. Upper moiety ectopic ureter insertion in the adrenal gland. The right testis was seen in the pelvis, exploration of the testis was done, and the testis was seen to be viable; right orchidopexy was done.
Follow-up outcome of intervention: patient recovery was uneventful, and the patient was discharged on postoperative day 5. A follow-up review four weeks after discharge was unremarkable. Renal function was within normal ranges. The surgical wound had healed completely.
Patient´s perspective: the patient's parents were so happy with the child´s recovery.
Informed consent: written consent was given for this publication by the patient's father.
Duplicated collecting systems, a common congenital anomaly of the urinary tract, arise from aberrant embryological development of the ureteric bud, potentially leading to a spectrum of clinical presentations, ranging from asymptomatic duplicated ureters to complex scenarios involving hydronephrosis, ectopic ureteral insertion, and renal dysfunction [2]. Incomplete duplex systems are those in which the distinct ureters fuse before the ureterovesical junction. Complete duplication occurs when two ureteric buds arise from the mesonephric duct, each inducing the development of a separate renal moiety and draining independently into the bladder or ectopically [2,3]. As seen in both cases, there is a complete duplication with ectopic insertion of the upper moiety into the adrenal gland. The Weigert-Meyer rule governs the insertion pattern of ureters in complete duplication, whereby the upper pole ureter tends to insert ectopically and is prone to obstruction. In contrast, the lower pole ureter inserts orthotopically and is more susceptible to vesicoureteral reflux (VUR) [2]. The upper pole moiety, when associated with an ectopic ureter, often inserts at sites distal to the bladder, such as the urethra, vagina, or even the seminal vesicles in males [2], predisposing affected individuals to recurrent urinary tract infections, incontinence, severe hydroureterosis and, in severe cases, renal damage and even rupture [5]. In our cases, all the upper ureters were inserted ectopically into the adrenal glands, which is a rare occurrence. However, while the lower ureter of the first case inserts orthotopically, that of the second case ends blindly at the pelvic ureteral junction, causing a UPJ obstruction. The upper pole is therefore often nonfunctional due to chronic obstruction and associated hydroureter and hydroureteronephrosis. Ectopic insertion into the adrenal gland, as presented in these two cases, represents an exceedingly rare manifestation of this anomaly, posing a diagnostic and management challenge [1]. Adrenal gland insertion is exceedingly rare and not widely reported.
The clinical presentations of duplicated systems with ectopic ureter insertion exhibit a wide variability based on anomaly type, severity, and laterality. The symptoms include recurrent urinary tract infections, incontinence (particularly in females), abdominal mass, or flank pain, haematuria, etc [2,4,5]. Both cases in this write-up had abdominal distension with no other symptoms except intermittent flank pain that was reported in the second case. Maybe the paucity of symptoms in these two cases gives credence to the fact that in cases of adrenal insertion, symptoms are more nonspecific [2,3], and the diagnosis may only become evident during surgical exploration. Diagnostic modalities such as ultrasonography, computed tomography, and magnetic resonance imaging play pivotal roles in detecting various congenital anomalies, along with clinical features [2]. Antenatal hydronephrosis, frequently identified during routine prenatal ultrasound screenings, necessitates careful evaluation to differentiate transient physiological dilatation from pathological obstruction or reflux [6]. We employ ultrasonography and a CT scan to aid with the diagnosis of the two cases. These two cases did not have an antenatal ultrasound done. This, therefore, calls for a deliberate effort at antenatal ultrasonography to actively search for urological anomalies. None of the diagnostic modalities picked up the duplicated ureters.
The mainstay of treatment remains upper-pole heminephrectomy with ureterectomy, especially in cases with a nonfunctioning upper moiety [4, 7]. Preservation of adrenal function is critical and feasible with meticulous dissection. Intraoperative findings play a pivotal role in confirming ectopic insertion, especially when imaging is equivocal [4]. In these cases, the ultrasound could only inform of the presence of hydroureters and hydronephroses, but the point of ureter insertions was detected during surgery. In both of our cases, the left and right kidneys of the first and second cases, respectively, were reduced into saclike structures with no remnant renal parenchyma and were deemed to be nonfunctional. Therefore, total nephrectomy and ureterectomy were done for both patients.
These cases presented highlight how ureteral duplication may remain clinically silent or manifest only with nonspecific features such as abdominal distension, rather than the recurrent urinary tract infections or incontinence typically associated with ectopic ureters. Conventional imaging modalities are useful for detecting hydronephrosis and hydroureter. Still, they are often insufficient in identifying the precise site of ureteral insertion, underscoring the importance of intraoperative findings in establishing a definitive diagnosis. Management of ureteral duplication should be tailored to renal function and clinical presentation. The outcomes underscore the importance of early detection through routine antenatal ultrasonography and vigilant evaluation of childhood abdominal distension. By reporting these rare cases, we broaden the spectrum of ectopic ureteral insertions and emphasise the need for heightened clinical awareness to facilitate timely diagnosis and intervention, thereby preventing irreversible renal damage and optimising paediatric outcomes.
The authors declare no competing interests.
Benjamin Akinkang, Bentil Awe Wewoli, Justine Dakurah: conceptualisation, design, writing of the manuscript, and reading of the final version. Bentil Awe Wewoli, Justine Dakurah: acquisition of images and data. All the authors have read and agreed to the final manuscript.
Figure 1: abdominal CT scan showing grade 4 hydronephrosis of the left kidney; the red stars show hydronephrosis of the left kidney with no discernible renal parenchyma, and the blue stars show the normal right kidney
Figure 2: kidney showing upper moiety ureter insertion in the adrenal gland and lower moiety ureter draining into the bladder with UPJ obstruction; the red arrow shows the kidney, the yellow arrow shows the dilated lower moiety ureter, and the blue arrow shows the upper moiety ureter inserting into the adrenal gland
Figure 3: abdominopelvic CT scan showing bilateral hydroureteronephrosis; the red stars show bilateral hydronephrosis, and the blue stars show the bilateral hydroureters
Figure 4: kidney showing ureteral duplication with the upper moiety ureter, which was inserted into the adrenal gland; the red arrow shows the kidney, the yellow arrow shows the dilated lower moiety ureter, and the blue shows the upper moiety ureter that is inserted into the adrenal gland (adrenal gland not shown)
- Houat AP, Guimaraes CTS, Takahashi MS, Rodi GP, Gasparetto TPD, Blasbalg R et al. Congenital anomalies of the upper urinary tract: A comprehensive review. Radiographics. 2021;41(2):462-486. PubMed | Google Scholar
- Didier RA, Chow JS, Kwatra NS, Retik AB, Lebowitz RL. The duplicated collecting system of the urinary tract: embryology, imaging appearances and clinical considerations. Springer Verlag. 2017 October; 47(11): 1526-1538. PubMed | Google Scholar
- Tounkara C, Maiga A, Sidibe BY, Kone T, Samake H, Bagayoko KD et al. Complete Ureteral Duplicity Complicated by Lithiasis with Right Ureterohydronephrosis with Left Renal Excretion Defect. Apropos of a Clinical Case. Surg Sci 2023;14(09): 575-582. Google Scholar
- Paraboschi I, Farneti F, Mantica G, Kalpana P, Tagizadeh A, Anu P et al. Surgical management of complicated duplex kidney: A tertiary referral centre 10-year experience. African Journal of Paediatric Surgery. 2023 Jan; 20(1):51-58. PubMed | Google Scholar
- Assaker R, El Hasbani G, Thomas G, Sapire J, Kaye A. Spontaneous rupture of the renal calyx secondary to a vesicoureteral junction calculus. Clin Imaging.2020 April; 60(2):169-171. PubMed | Google Scholar
- Lee RS, Cendron M, Kinnamon DD, Nguyen HT. Antenatal hydronephrosis as a predictor of postnatal outcome: A meta-analysis. Paediatrics. 2006 August;118(2): 586-593. PubMed | Google Scholar
- Evans CNB, Badenhorst A, Pinto SZ. Ipsilateral ureteroureterostomy versus upper moiety heminephrectomy (and proximal ureterectomy) for a complete duplex system of the kidney: a mini-review. African Urology. 2023 October;3(3):140-145. Google Scholar
Search
This article authors
On Pubmed
On Google Scholar
Citation [Download]
Navigate this article
Similar articles in
Key words
Tables and figures
Figure 2: kidney showing upper moiety ureter insertion in the adrenal gland and lower moiety ureter draining into the bladder with UPJ obstruction; the red arrow shows the kidney, the yellow arrow shows the dilated lower moiety ureter, and the blue arrow shows the upper moiety ureter inserting into the adrenal gland
Figure 4: kidney showing ureteral duplication with the upper moiety ureter, which was inserted into the adrenal gland; the red arrow shows the kidney, the yellow arrow shows the dilated lower moiety ureter, and the blue shows the upper moiety ureter that is inserted into the adrenal gland (adrenal gland not shown)




