Intrahepatic portal vein aneurysm complicating severe portal hypertension: a case report
Khaled Zein El Abidine, Ibrahima Niang, Mbaye Thiam, Joseph Coumba Ndoffene Diouf, Aminata Mbaye, Fallou Galass Niang, Abdoulaye Dione Diop, Sokhna Ba
Corresponding author: Ibrahima Niang, Radiology Department, Fann University Hospital Center, Dakar, Senegal 
Received: 07 Oct 2025 - Accepted: 10 Feb 2026 - Published: 04 Mar 2026
Domain: Radiology
Keywords: Portal vein aneurysm, portal hypertension, Doppler ultrasound, case report
Funding: This work received no specific grant from any funding agency in the public, commercial, or not-for-profit sectors.
©Khaled Zein El Abidine et al. PAMJ Clinical Medicine (ISSN: 2707-2797). This is an Open Access article distributed under the terms of the Creative Commons Attribution International 4.0 License (https://creativecommons.org/licenses/by/4.0/), which permits unrestricted use, distribution, and reproduction in any medium, provided the original work is properly cited.
Cite this article: Khaled Zein El Abidine et al. Intrahepatic portal vein aneurysm complicating severe portal hypertension: a case report. PAMJ Clinical Medicine. 2026;20:14. [doi: 10.11604/pamj-cm.2026.20.14.49680]
Available online at: https://www.clinical-medicine.panafrican-med-journal.com//content/article/20/14/full
Case report 
Intrahepatic portal vein aneurysm complicating severe portal hypertension: a case report
Intrahepatic portal vein aneurysm complicating severe portal hypertension: a case report
Khaled Zein El Abidine1,
Ibrahima Niang1,2,&,
Mbaye Thiam1,
Joseph Coumba Ndoffene Diouf1, Aminata Mbaye1,
Fallou Galass Niang3, Abdoulaye Dione Diop1,2, Sokhna Ba1,2
&Corresponding author
Portal vein aneurysms (PVA) are rare vascular anomalies, often associated with liver cirrhosis or portal hypertension. We report the case of a 40-year-old woman admitted for upper gastrointestinal bleeding due to ruptured esophageal varices. Imaging revealed a saccular intrahepatic portal vein aneurysm measuring 23 x 22 mm with a 16 mm neck, partially thrombosed and extending to the superior mesenteric vein. The final diagnosis was intrahepatic portal vein aneurysm complicating severe portal hypertension secondary to chronic hepatitis B. Conservative management was adopted. This case illustrates the value of Doppler ultrasound and CT in detecting intrahepatic PVA and highlights the association between acquired aneurysms and severe portal hypertension.
Portal vein aneurysms (PVA) are rare vascular dilations accounting for about 3% of all venous aneurysms. They are increasingly detected incidentally due to advances in imaging techniques, particularly Doppler ultrasound and contrast-enhanced CT [1,2]. Portal vein aneurysms (PVAs) are often associated with cirrhosis or portal hypertension, but their etiology may be congenital or acquired [1]. Given their rarity, management remains non-consensual, with most cases treated conservatively [3]. We report a case of an intrahepatic portal vein aneurysm complicating severe portal hypertension in a patient with chronic hepatitis B infection.
Patient Information: a 40-year-old woman with no known medical history was admitted for hematemesis. She had no history of trauma, abdominal surgery, or liver disease.
Clinical findings: on examination, she was pale but hemodynamically stable after initial resuscitation. There were no signs of hepatic encephalopathy or ascites.
Timeline of current episode: on admission, the patient presented with upper gastrointestinal bleeding. Endoscopy revealed ruptured esophageal varices. Two days later, Doppler ultrasound showed an intrahepatic saccular aneurysm of the portal bifurcation measuring 23 x 22 mm with a 16 mm neck. A contrast-enhanced CT scan confirmed the diagnosis and demonstrated partial thrombosis extending to the superior mesenteric vein. One month later, the patient was informed of the diagnosis, and conservative management was proposed. She was subsequently lost to follow-up.
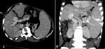
Diagnostic assessment: laboratory tests revealed microcytic hypochromic anemia (Hb 6.2 g/dL), low ferritin (6 µg/L), elevated C-reactive protein (11 mg/L), and positive HBs antigen. Doppler ultrasound demonstrated a saccular aneurysm with the characteristic 'yin-yang' flow pattern and mural thrombosis (Figure 1 A,B,C). CT imaging confirmed these findings, showing chronic partial thrombosis and marked splenomegaly with gastroesophageal varices (Figure 1 A,B).
Diagnosis: intrahepatic portal vein aneurysm complicating severe portal hypertension secondary to chronic hepatitis B infection.
Therapeutic interventions: conservative management was adopted, including medical and endoscopic treatment of variceal bleeding. No endovascular or surgical intervention was performed.
Follow-up and outcome of interventions: the patient was advised to undergo follow-up Doppler or CT imaging every 3-6 months. However, she was lost to follow-up after her first post-discharge visit.
Patient perspective: the patient was informed about her vascular anomaly and its potential complications. She agreed with the proposed conservative management but did not return for follow-up visits.
Informed consent: written informed consent was obtained from the patient for publication of this case and accompanying images.
Portal vein aneurysms were first described by Barzilai and Kleckner in 1956 in a patient with hemobilia secondary to aneurysm rupture [4]. Since then, more than 200 cases have been reported [5,6]. The prevalence is estimated at 0.6/1000. They can be extrahepatic or intrahepatic, with intrahepatic forms often located at the portal bifurcation [7,8]. Diagnostic thresholds vary, but a diameter >20 mm in extrahepatic portions and >7-8.5 mm in intrahepatic segments is generally considered aneurysmal [1,7,8].
Most PVAs are asymptomatic, and their discovery is incidental. When symptomatic, they present with complications such as thrombosis (13-30%) [3,9], rupture (2%) [10], or manifestations of portal hypertension. In our patient, the aneurysm was detected during the evaluation of upper gastrointestinal bleeding from variceal rupture. Doppler ultrasound remains the first-line imaging modality, allowing evaluation of flow characteristics and mural thrombosis [3]. CT and MRI provide detailed anatomy and are useful for assessing the extent of thrombosis or planning intervention [5,9]. In our case, Doppler ultrasound and CT were sufficient for diagnosis and follow-up planning. Management depends on the size, symptoms, and complications [1,5,10]. Conservative treatment is preferred for asymptomatic or stable cases. Intervention is reserved for cases of rupture, rapid growth, or complications such as portal vein obstruction [7,8]. Our patient received conservative management due to chronic thrombosis and hemodynamic stability. Prognosis depends largely on the underlying liver disease and presence of complications. Regular imaging follow-up is essential to monitor aneurysm evolution [9,10].
Intrahepatic portal vein aneurysm is a rare vascular anomaly, often discovered incidentally or in the context of portal hypertension. Doppler ultrasound and CT are key for diagnosis and follow-up. Individualized management is required based on symptoms and complications.
The authors declare no competing interests.
Data collection and manuscript drafting: Khaled Zein El Abidine. Supervision and critical review: Ibrahima Niang. Imaging analysis: Mbaye Thiam, Joseph Coumba Ndoffene Diouf, Aminata Mbaye. Literature review and manuscript revision: Fallou Galass Niang, Abdoulaye Dione Diop, Sokhna Ba. All the authors have read and approved the final version of this manuscript.
Figure 1: ultrasound of the liver showing the portal trunk: A) intrahepatic portal vein aneurysm measuring 23 - 22 mm; B) aneurysm neck measuring 16 mm; C) color Doppler showing the typical “yin-yang” flow pattern within the aneurysm
Figure 2: contrast-enhanced abdominal CT in the portal phase: A) axial section showing a dilated portal trunk; B) coronal MIP reconstruction showing the intrahepatic portal vein aneurysm with mural calcifications
- Schwope RB, Margolis DJ, Raman SS, Kadell BM. Portal vein aneurysms: a case series with literature review. J Radiol Case Rep. 2010;4(6):28-38. PubMed | Google Scholar
- Chaubard S, Lacroix P, Kennel C, Jaccard A. Aneurysm of the portal venous system: A rare and unknown pathology. Rev Med Interne. 2018 Dec;39(12):946-949. PubMed | Google Scholar
- Koc Z, Oguzkurt L, Ulusan S. Portal venous system aneurysms: imaging, clinical findings, and a possible new etiologic factor. AJR Am J Roentgenol. 2007 Nov;189(5):1023-30. PubMed | Google Scholar
- Barzilai R, Kleckner MS. Hemocholecyst following ruptured aneurysm of portal vein: report of a case. AMA Arch Surg. 1956 Apr;72(4):725-7. PubMed | Google Scholar
- Sfyroeras GS, Antoniou GA, Drakou AA, Karathanos C, Giannoukas AD. Visceral venous aneurysms: clinical presentation, natural history and their management: a systematic review. Eur J Vasc Endovasc Surg. 2009 Oct;38(4):498-505. PubMed | Google Scholar
- Laurenzi A, Ettore GM, Lionetti R, Meniconni RL, Colasanti M, Vennarecci G. Portal vein aneurysm: what to know. Dig Liver Dis. 2015 Nov;47(11):918-23. PubMed | Google Scholar
- Lee TP, Lu HC, Chou YH, Tiu CM, Chiou SY, Chiou HJ et al. Portal vein aneurysm: A case report and review of the literature. Journal of Medical Ultrasound. 2009 Jan 1;17(1):57-62. Google Scholar
- Rafifiq SA, Sitrin MD. Portal vein aneurysm: case report and review of the literature. Gastroenterol Hepatol. 2007;3(4):296-8. PubMed | Google Scholar
- Lupescu I, Masala N, Capsa R, Câmpeanu N, Georgescu SA. CT and MRI of acquired portal venous system anomalies. J Gastrointest Liver Dis. 2006 Dec;15(4):393-8. PubMed | Google Scholar
- Molinares B, Alvarez S, García V, Sepúlveda ME, Yepes NL, Peláez S. Extrahepatic portal vein aneurysm after liver transplantation in a child: case report. Pediatr Transplant. 2013 Feb;17(1):E33-6. PubMed | Google Scholar




