Isolated childhood cerebellar ataxia may hide ataxia-telangiectasia complicated by diffuse large B-cell lymphoma: a case report
Nadia Mebrouk, Khadija Belcadi Abassi, Sanae El Moussaoui, Naoual El Ansari, Amina Kili, Elmahdi Ait Belhaj, Latifa Chat, Bouchra Chkirate
Corresponding author: Nadia Mebrouk, Department of Pediatrics, Children's Hospital of Rabat, Ibn Sina University Hospital Center, Rabat, Morocco 
Received: 17 Jan 2026 - Accepted: 10 Feb 2026 - Published: 13 Mar 2026
Domain: Pediatric oncology
Keywords: Ataxia-telangiectasia, early-onset cerebellar ataxia, diffuse large B-cell lymphoma, combined immunodeficiency, case report
Funding: This work received no specific grant from any funding agency in the public, commercial, or not-for-profit sectors.
©Nadia Mebrouk et al. PAMJ Clinical Medicine (ISSN: 2707-2797). This is an Open Access article distributed under the terms of the Creative Commons Attribution International 4.0 License (https://creativecommons.org/licenses/by/4.0/), which permits unrestricted use, distribution, and reproduction in any medium, provided the original work is properly cited.
Cite this article: Nadia Mebrouk et al. Isolated childhood cerebellar ataxia may hide ataxia-telangiectasia complicated by diffuse large B-cell lymphoma: a case report. PAMJ Clinical Medicine. 2026;20:16. [doi: 10.11604/pamj-cm.2026.20.16.51152]
Available online at: https://www.clinical-medicine.panafrican-med-journal.com//content/article/20/16/full
Case report 
Isolated childhood cerebellar ataxia may hide ataxia-telangiectasia complicated by diffuse large B-cell lymphoma: a case report
Isolated childhood cerebellar ataxia may hide ataxia-telangiectasia complicated by diffuse large B-cell lymphoma: a case report
Nadia Mebrouk1,&, Khadija Belcadi Abassi1, Sanae El Moussaoui1, Naoual El Ansari2, Amina Kili2, Elmahdi Ait Belhaj3, Latifa Chat3, Bouchra Chkirate1
&Corresponding author
Ataxia-telangiectasia (AT) is a rare autosomal recessive disorder characterized by progressive cerebellar ataxia, immunodeficiency, and a high risk of hematologic malignancies; however, atypical forms lacking telangiectasias may remain unrecognized for years. This case is unique in that AT initially presented as an isolated early-onset cerebellar ataxia without telangiectasias and was only diagnosed after the development of an aggressive lymphoma, highlighting a major diagnostic pitfall. We report an 8-year-old boy followed since infancy for unexplained progressive cerebellar ataxia, with early brain MRI showing posterior fossa atrophy. He was later hospitalized for prolonged fever, and investigations revealed disseminated diffuse large B-cell lymphoma associated with combined immunodeficiency and markedly elevated alpha-fetoprotein, leading to the diagnosis of atypical ataxia-telangiectasia. Management included immunoglobulin replacement therapy, anti-infective prophylaxis, and dose-reduced chemotherapy adapted to AT-related radiosensitivity; radiotherapy and anti-CD20 therapy were not used. Despite an initial partial response, the disease rapidly progressed, resulting in a fatal outcome. This case underscores the importance of systematically considering AT in any child with unexplained early-onset cerebellar ataxia, even in the absence of telangiectasias, as early genetic diagnosis may allow tailored surveillance and timely detection of life-threatening hematologic complications.
Ataxia-telangiectasia (AT) is a rare autosomal recessive disorder caused by pathogenic variants in the ATM gene, characterized by progressive cerebellar ataxia, combined immunodeficiency, and an increased risk of hematologic malignancies [1]. In its classic form, AT typically presents in early childhood with progressive cerebellar ataxia and telangiectasias; however, these hallmark features may be absent for several years, leading to delayed diagnosis and underrecognition of atypical forms [2]. Patients with AT are at particularly high risk of developing aggressive B-cell lymphomas, which represent a major cause of morbidity and mortality in this condition [3]. Early diagnosis is therefore crucial to allow appropriate immunologic and hematologic surveillance and to anticipate severe complications [4]. This case illustrates an atypical presentation of AT initially manifesting as an isolated early-onset cerebellar ataxia without telangiectasias, which remained unexplained until it was revealed by a disseminated diffuse large B-cell lymphoma. Patients with AT are at particularly high risk of developing aggressive B-cell lymphomas, which represent a major cause of morbidity and mortality in this condition [3]. Early diagnosis is therefore crucial to allow appropriate immunologic and hematologic surveillance and to anticipate severe complications [4]. In addition, elevated alpha-fetoprotein (AFP) is a characteristic biological marker of AT, frequently present even in atypical forms, and may provide an important diagnostic clue in children with unexplained early-onset cerebellar ataxia [5].
Patient information: an 8-year-old boy, born to non-consanguineous parents, was admitted for prolonged fever unresponsive to antibiotics. He had been followed since six months of age for unexplained progressive cerebellar ataxia. Early brain MRI showed posterior fossa atrophy without etiologic orientation. There was no family history of neurologic disease, immunodeficiency, or malignancy. Recurrent ENT infections were noted during early childhood, with transient response to antibiotics.
Clinical findings: on admission, the patient was febrile with impaired general condition and severe cerebellar ataxia. No focal neurological deficit or cutaneous or conjunctival telangiectasias were observed. Generalized lymphadenopathy and hepatosplenomegaly were present.
Timeline of current episode: cerebellar ataxia first appeared at the age of six months and progressed throughout infancy and childhood, during which the patient experienced recurrent infections and an early brain MRI demonstrated posterior fossa atrophy. At the age of eight years, he developed a prolonged fever unresponsive to antibiotic therapy, leading to hospital admission. Further investigations revealed disseminated lymphadenopathy, and subsequent diagnostic work-up confirmed diffuse large B-cell lymphoma associated with atypical ataxia-telangiectasia. Treatment with immunoglobulin replacement therapy and adapted chemotherapy was initiated, resulting in an initial partial response, followed by rapid disease progression and death.
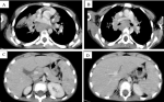
Diagnostic assessment: laboratory investigations revealed a marked inflammatory syndrome. Cervico-thoraco-abdomino-pelvic computed tomography demonstrated disseminated lymphadenopathy with extranodal involvement, including hepatosplenomegaly and splenic nodules (Figure 1). Lymph node biopsy confirmed diffuse large B-cell lymphoma. Immunohistochemistry showed non-interpretable CD20 staining, and complementary markers (CD79a, CD45) confirmed the absence of tumor CD20 expression. Immunologic evaluation revealed combined immunodeficiency with severe hypogammaglobulinemia, profound CD4 T-cell lymphopenia (132/μL), near absence of CD19 B cells (7/μL), CD3 T cells at 965/μL, CD8 T cells at 617/μL, and NK cells at 796/μL. Alpha-fetoprotein levels were markedly elevated (123 ng/mL). Access to early genetic testing was limited, contributing to diagnostic delay.
Diagnosis: based on the association of early-onset progressive cerebellar ataxia, combined immunodeficiency, elevated alpha-fetoprotein, and lymphoma, a diagnosis of atypical ataxia-telangiectasia was established. The patient was transferred to the pediatric hematology-oncology unit for specialized management. An 18F-FDG PET-CT revealed multiple hypermetabolic foci, consistent with stage IV diffuse large B-cell lymphoma according to the Ann Arbor classification (Figure 2) [6]. The overall prognosis was poor given the advanced stage of malignancy and the underlying radiosensitivity associated with ataxia-telangiectasia.
Therapeutic interventions: treatment included intravenous immunoglobulin replacement, anti-infective prophylaxis, and adapted chemotherapy. Trimethoprim-sulfamethoxazole was administered for Pneumocystis jirovecii prophylaxis in the context of profound CD4 lymphopenia, and broad-spectrum antibiotics were used during febrile episodes [7]. Chemotherapy doses were reduced because of AT-related radiosensitivity, radiotherapy was avoided [8], and rituximab was not used due to the absence of CD20 expression [9].
Follow-up and outcome of interventions: follow-up imaging after initiation of adapted chemotherapy showed a partial response (Figure 3). Despite this initial response, the patient subsequently developed rapid disease progression with reappearance and enlargement of lymphadenopathy, ultimately resulting in death. Treatment tolerance was acceptable, but therapeutic options were limited by the absence of CD20 expression and the underlying radiosensitivity and immunodeficiency.
Informed consent: it was obtained from the patient´s parents for publication of this case report and accompanying images.
Ataxia-telangiectasia (AT) remains a challenging diagnosis, particularly in atypical forms in which telangiectasias, although considered hallmark signs, may be absent for many years. This absence constitutes a major diagnostic pitfall and should not lead to the premature exclusion of AT [2]. In young children, progressive cerebellar ataxia is a nonspecific manifestation shared by numerous neurologic conditions. However, when associated with suggestive findings such as posterior fossa atrophy on brain imaging, recurrent ENT or respiratory infections, or prolonged follow-up without an identified etiology, AT should be systematically considered among the differential diagnoses [2,4]. Atypical forms therefore require a high index of suspicion, as their initial clinical presentation may be subtle and fragmentary [2].
In this context, genetic analysis of the ATM gene plays a central role in establishing the diagnosis [1]. Beyond its confirmatory value, early genetic testing allows anticipation of immunologic and hematologic complications and enables tailored follow-up before the occurrence of severe events. Limited access to genetic testing in some healthcare settings remains a major obstacle and may considerably delay diagnosis, as illustrated in our case. The progression of our patient to an aggressive lymphoma highlights the consequences of delayed recognition of AT. Patients with AT have a markedly increased risk of malignant lymphoproliferative disorders, and in the absence of early diagnosis, appropriate hematologic surveillance cannot be implemented [3]. Furthermore, the management of lymphomas in AT is particularly challenging. The intrinsic radiosensitivity related to defective DNA repair restricts the use of standard treatment protocols and requires dose adaptation of chemotherapy [8]. In addition, the absence of CD20 expression in our patient precluded the use of rituximab, a key therapeutic agent in diffuse large B-cell lymphoma [9]. Combined immunodeficiency further complicates treatment by increasing susceptibility to infections and limiting therapeutic tolerance. Despite management in accordance with current recommendations, these constraints likely contributed to the unfavorable outcome observed.
This case also underscores the importance of ancillary biological markers such as elevated alpha-fetoprotein and combined immunodeficiency, which are characteristic but often underrecognized features of AT [5,7]. Earlier recognition of these findings, combined with genetic confirmation, could facilitate earlier diagnosis and allow implementation of adapted immunologic and oncologic surveillance strategies. The main strength of this case lies in its illustration of a diagnostic pitfall in atypical ataxia-telangiectasia presenting as isolated early-onset cerebellar ataxia. Its main limitation is its single-case nature and the absence of early genetic confirmation, which precludes genotype-phenotype correlation. Nevertheless, this observation provides valuable clinical insight, particularly in resource-limited settings. This case emphasizes the need to systematically consider ataxia-telangiectasia in any child with unexplained early-onset progressive cerebellar ataxia, even in the absence of telangiectasias. Early diagnosis is essential not only for neurologic and immunologic management but also for timely detection and treatment of aggressive hematologic malignancies, which remain a major determinant of prognosis in AT.
This case illustrates that isolated childhood cerebellar ataxia may represent an early manifestation of ataxia-telangiectasia. Maintaining clinical suspicion enables earlier diagnosis, closer follow-up, and improved anticipation of severe hematologic complications.
The authors declare no competing interests.
Concept and design: Nadia Mebrouk, Khadija Belcadi Abassi, Sanae El Moussaoui, Naoual El Ansari, Amina Kili, Elmahdi Ait Belhaj, Bouchra Chkirate. Acquisition, analysis, or interpretation of data: Nadia Mebrouk, Khadija Belcadi Abassi, Sanae El Moussaoui, Naoual El Ansari, Amina Kili, Elmahdi Ait Belhaj, Bouchra Chkirate. Drafting of the manuscript: Nadia Mebrouk, Khadija Belcadi Abassi, Sanae El Moussaoui, Naoual El Ansari, Amina Kili, Elmahdi Ait Belhaj, Bouchra Chkirate. Critical review of the manuscript for important intellectual content: Nadia Mebrouk, Khadija Belcadi Abassi, Sanae El Moussaoui, Naoual El Ansari, Amina Kili, Elmahdi Ait Belhaj, Bouchra Chkirate. All authors have reviewed the final version to be published and agreed to be accountable for all aspects of the work.
Figure 1: initial cervico-thoraco-abdomino-pelvic computed tomography showing disseminated lymphadenopathy and extranodal involvement in an 8-year-old child: A) bulky mediastinal lymphadenopathy; B) mediastinal lymphadenopathy in the subcarinal region; C) abdominal lymphadenopathy involving the hepatic hilum and peripancreatic regions; D) hepatosplenomegaly with splenic nodules suggestive of extranodal lymphomatous involvement
Figure 2: 18F-FDG PET-CT showing multiple hypermetabolic sites
Figure 3: A) reduction of right paratracheal (4R) lymphadenopathy; B) uktregression of subcarinal lymphadenopathy; C) regression of retroperitoneal lymphadenopathy associated with decreased hepatosplenomegaly
- Mehri A, Toosi MB, Tavasoli AR, Saberi-Karimian M. The latest developments for the treatment of ataxia telangiectasia: a narrative review. Cerebellum. 2024 Dec;23(6):2607-2615. PubMed | Google Scholar
- Rothblum-Oviatt C, Wright J, Lefton-Greif MA, McGrath-Morrow SA, Crawford TO, Lederman HM. Ataxia telangiectasia: a review. Orphanet J Rare Dis. 2016 Nov 25;11(1):159. PubMed | Google Scholar
- Suarez F, Mahlaoui N, Canioni D, Andriamanga C, Dubois d´Enghien C, Brousse N et al. Incidence, presentation, and prognosis of malignancies in ataxia-telangiectasia: a report from the French national registry of primary immune deficiencies. J Clin Oncol. 2015;33(2):202-208. PubMed | Google Scholar
- Elitzur S, Shiloh R, Loeffen JL, Pastorczak A, Takagi M, Bomken S et al. ATM germline pathogenic variants affect outcomes in children with ataxia-telangiectasia and hematological malignancies. Blood. 2024;144(11):1193-1205. Google Scholar
- Panagioti O, Petley E, Liu JF, Ojha S, Dandapani M, Suri M, Whitehouse W. Alpha-fetoprotein in children and young people with ataxia-telangiectasia. Dev Med Child Neurol. 2018;60(7):687-692. Google Scholar
- Cheson BD, Fisher RI, Barrington SF, Cavalli F, Schwartz LH, Zucca E et al. Recommendations for initial evaluation, staging, and response assessment of Hodgkin and non-Hodgkin lymphoma: the Lugano classification. J Clin Oncol. 2014 Sep 20;32(27):3059-67. PubMed | Google Scholar
- Nowak-Wegrzyn A, Crawford TO, Winkelstein JA, Carson KA, Lederman HM. Immunodeficiency and infections in ataxia-telangiectasia. J Pediatr. 2004 Apr 1;144(4):505-11. PubMed | Google Scholar
- Abadir R, Hakami N. Ataxia telangiectasia with cancer. An indication for reduced radiotherapy and chemotherapy doses. The British Journal of Radiology. 1983 May 1;56(665):343-5. PubMed | Google Scholar
- Castillo JJ, Chavez JC, Hernandez-Ilizaliturri FJ, Montes-Moreno S. CD20-negative diffuse large B-cell lymphomas: biology and emerging therapeutic options. Expert Review of Hematology. 2015 May 4;8(3):343-54. PubMed | Google Scholar
Search
This article authors
On Pubmed
On Google Scholar
Citation [Download]
Navigate this article
Similar articles in
Key words
Tables and figures
Figure 1: initial cervico-thoraco-abdomino-pelvic computed tomography showing disseminated lymphadenopathy and extranodal involvement in an 8-year-old child: A) bulky mediastinal lymphadenopathy; B) mediastinal lymphadenopathy in the subcarinal region; C) abdominal lymphadenopathy involving the hepatic hilum and peripancreatic regions; D) hepatosplenomegaly with splenic nodules suggestive of extranodal lymphomatous involvement




