Direct intrahepatic portosystemic shunt in acute primary Budd-Chiari syndrome in a patient with autoimmune hepatitis: case report
Sufyaan Sheik Ebrahim, Muhammed Vally, Ramah Isam Farah Hassan, Vikash Lala, Adam Mahomed
Corresponding author: Sufyaan Sheik Ebrahim, Division of Medical Gastroenterology, Department of Internal Medicine, Wits Donald Gordan Medical Centre, Johannesburg, South Africa 
Received: 02 Apr 2026 - Accepted: 09 Apr 2026 - Published: 21 Apr 2026
Domain: Gastroenterology
Keywords: Transjugular intrahepatic portosystemic shunt, direct intrahepatic portosystemic shunt, Budd-Chiari syndrome, hepatic vein thrombosis, portal hypertension, case report
Funding: This research received no specific grant from any funding agency in the public, commercial, or not-for-profit sectors.
©Sufyaan Sheik Ebrahim et al. PAMJ Clinical Medicine (ISSN: 2707-2797). This is an Open Access article distributed under the terms of the Creative Commons Attribution International 4.0 License (https://creativecommons.org/licenses/by/4.0/), which permits unrestricted use, distribution, and reproduction in any medium, provided the original work is properly cited.
Cite this article: Sufyaan Sheik Ebrahim et al. Direct intrahepatic portosystemic shunt in acute primary Budd-Chiari syndrome in a patient with autoimmune hepatitis: case report. PAMJ Clinical Medicine. 2026;20:21. [doi: 10.11604/pamj-cm.2026.20.21.52485]
Available online at: https://www.clinical-medicine.panafrican-med-journal.com//content/article/20/21/full
Case report 
Direct intrahepatic portosystemic shunt in acute primary Budd-Chiari syndrome in a patient with autoimmune hepatitis: case report
Direct intrahepatic portosystemic shunt in acute primary Budd-Chiari syndrome in a patient with autoimmune hepatitis: case report
Sufyaan Sheik Ebrahim1,2,3,&,
Muhammed Vally1,2,3, Ramah Isam Farah Hassan1,2,3, Vikash Lala1,2,3, Adam Mahomed1,2,3
&Corresponding author
Budd-Chiari syndrome represents a rare vascular disorder defined by obstruction of hepatic venous outflow which, without timely intervention, may progress to portal hypertension, cirrhosis, and liver failure. Primary Budd-Chiari syndrome refers to intrinsic venous obstruction, which is most commonly associated with underlying prothrombotic states that predispose individuals to venous thrombosis. Interventional procedures are often required as a therapeutic modality when medical therapy alone is insufficient. Transjugular intrahepatic portosystemic shunt (TIPS) is commonly used to reduce portal hypertension in Budd-Chiari syndrome; however, it may not be feasible in the presence of hepatic vein thrombosis where cannulation of the hepatic vein, and thus, shunt creation may not be possible. In such cases, direct intrahepatic portosystemic shunt (DIPS) may provide an alternative route for portal decompression through the creation of a shunt directly between the inferior vena cava and the portal venous system. We describe a 34-year-old female presenting with autoimmune hepatitis and primary Budd-Chiari syndrome who underwent a successful ultrasound-guided direct intrahepatic portocaval shunt creation between the portal vein and the intrahepatic inferior vena cava, resulting in a significant reduction in portal venous pressure gradient and improved portal venous flow. This case highlights the feasibility of DIPS in a tertiary hospital setting and supports its role as an alternative endovascular approach for managing portal hypertension in Budd-Chiari syndrome.
Budd-Chiari syndrome (BCS) is a rare vascular disease characterized by hepatic venous outflow obstruction, with the site of occlusion extending from the small intrahepatic veins to the confluence of the inferior vena cava (IVC) and the right atrium [1]. BCS is classified into primary and secondary forms according to aetiology. Primary BCS results from intraluminal thrombosis of the hepatic veins or terminal IVC, whereas secondary BCS occurs due to extrinsic compression or tumour infiltration of the hepatic venous system [2]. Primary BCS is frequently associated with hereditary and acquired thrombophilic disorders. Hereditary prothrombotic states such as factor V Leiden mutation, protein C deficiency, protein S deficiency, antithrombin III deficiency, and the prothrombin G20210A mutation increase the risk of hepatic venous thrombosis, while acquired conditions, particularly myeloproliferative neoplasms including polycythaemia vera, paroxysmal nocturnal haemoglobinuria, essential thrombocythemia, and myelofibrosis, are also major contributors to primary BCS pathogenesis [2]. The clinical presentation of BCS ranges from asymptomatic disease to acute liver failure. Patients classically present with the triad of abdominal pain, ascites, and hepatomegaly. Diagnosis relies primarily on duplex Doppler ultrasonography, with cross-sectional imaging such as magnetic resonance imaging (MRI) and computed tomography (CT) providing further anatomical detail and delineation of the portal venous system [3].
The aims of management in BCS are to relieve hepatic congestion and prevent progression to liver failure. This includes anticoagulation, thrombolysis, angioplasty or stenting, transjugular intrahepatic portosystemic shunt (TIPS), direct intrahepatic portosystemic shunt (DIPS) and liver transplantation in advanced disease [4]. In this context, we report a case of Budd-Chiari syndrome complicated by hepatic vein thrombosis successfully managed with an ultrasound-guided direct intrahepatic portosystemic shunt (DIPS), highlighting its role as an alternative portal decompression strategy when conventional TIPS is not feasible, such as in the presence of hepatic vein thrombosis where there is technical difficulty in cannulating the hepatic veins due to diffuse thrombosis.
Patient information: a 34-year-old female with no significant medical background presented with progressive abdominal distension, abdominal pain, jaundice, and sleep disturbances. Her medical history was otherwise unremarkable, with sober habits including no history of alcohol consumption or recreational drug use.
Clinical findings: on clinical presentation, the patient was jaundiced and hemodynamically stable. Neurological examination revealed that she was conscious but disoriented to place, person, and location, and a flapping tremor was noted, consistent with West-Haven grade 2 hepatic encephalopathy. Physical examination of the abdomen showed distension and a positive fluid thrill.
Diagnostic assessment: initial laboratory investigations including viral studies, auto-immune hepatitis associated antibodies, and a metabolic panel were negative. However, a high serum Immunoglobulin G level (>1.1 × upper limit of normal) and polycythemia were noted. Additionally, the JAK2 mutation testing returned positive. The severity of liver disease was assessed using prognostic scoring systems, with a Child-Pugh score of 10 (Class C) and a Model for End-Stage Liver Disease (MELD) score of 22.
Abdominal Doppler ultrasonography revealed hepatomegaly with a coarse and heterogeneous liver parenchyma indicative of cirrhosis. Significant ascites and splenomegaly were also observed. The portal vein and inferior vena cava (IVC) were patent; however, hepatofugal flow was noted in the portal veins and the hepatic veins could not be visualized. CT imaging further demonstrated features consistent with Budd-Chiari syndrome, including caudate lobe enlargement, non-visualization of the hepatic veins, and multiple enhancing regenerative nodules. In the context of portal hypertension, upper oesophagogastroduodenal endoscopy demonstrated grade 2 oesophageal varices with portal hypertensive gastropathy. Definitive evaluation with liver biopsy revealed interface hepatitis, plasma cell infiltration, fibrosis, and complete cirrhosis.
Diagnosis: autoimmune hepatitis and a myeloproliferative disorder were initially considered as possible etiologies of the liver failure. The lack of visualization of hepatic veins on imaging raised suspicion for a co-existent Budd-Chiari syndrome. Based on the laboratory findings, imaging results, and histopathological examination, a final diagnosis of autoimmune hepatitis with primary Budd-Chiari syndrome was established. The presence of a positive JAK2 mutation raised concern for an underlying predisposing prothrombotic factor.
Therapeutic interventions: initial management included diuretics, paracentesis, and a beta blocker (carvedilol) for primary prophylaxis of oesophageal varices. Anticoagulation with low molecular weight heparin (enoxaparin) was initiated. An attempt was made to perform a transjugular intrahepatic portosystemic shunt (TIPS); however, the procedure was abandoned due to the absence of cannulatable hepatic veins. Consequently, a direct intrahepatic portosystemic shunt (DIPS) was performed as a salvage intervention.
Under ultrasound guidance, transjugular access as well as percutaneous transhepatic access was obtained. An 8 F sheath was inserted into the right internal jugular vein. A 20-gauge Chiba needle was percutaneously inserted into the right portal vein via a right anterolateral intercostal approach (Figure 1). Injected contrast confirmed positioning before advancing a 6 F sheath into the right portal vein (Figure 2). Venography confirmed a massive spontaneous left-sided splenorenal shunt (Figure 3).
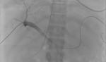
Through the 6 F sheath, the Chiba needle was advanced through the portal vein and into the IVC. A 0.018-inch V18 control wire was passed through the Chiba needle and into the IVC, where it was snared via the IJV access. A 4 F catheter was passed over the micro-wire via the IJV access, gaining access into the portal vein. Once this was achieved, the system was exchanged for a super-stiff wire with the tip positioned in the splenic vein. The transhepatic tract was dilated with a 10 mm balloon. A 10 mm x 8/2 cm partially covered Viator graft was inserted (Figure 4). Post-stent venogram demonstrated prompt flow through the stent graft (Figure 5). The previously rapid flow through the splenorenal shunt slowed to near stasis. The transhepatic tract was then embolized with two Nester coils (6 mm x 14 cm).
Follow-up and outcome of interventions: the DIPS procedure resulted in a significant reduction in the portal venous pressure gradient from 22 mmHg to 11 mmHg and improved portal venous flow (Table 1). Post-stent venography demonstrated prompt flow through the stent graft, while flow through a pre-existing spontaneous splenorenal shunt slowed to near stasis. Long-term anticoagulation therapy was instituted and is considered essential to reduce the risk of Budd-Chiari syndrome recurrence or shunt occlusion.
Patient perspective: the patient was concerned about her clinical condition in the initial stages. However, she expressed relief and satisfaction following the explanation of her disease, the care she received, and the improvement in her symptoms.
Informed consent: written informed consent was obtained from the patient for publication of this case report in accordance with ethical standards.
Budd-Chiari syndrome (BCS) encompasses a spectrum of liver diseases arising from occlusion of the hepatic venous outflow tract, which may result from intrinsic thrombotic events or external venous compression [5]. This pathophysiological disruption leads to hepatic venous congestion, subsequent ischemic hepatocellular injury, and, over time, the development of cirrhosis [5]. Although BCS may present in fulminant, acute, or chronic forms, it frequently remains clinically silent for extended periods before undergoing a rapid transition to advanced liver disease characterized by cirrhosis and portal hypertension [5]. In the absence of prompt diagnosis and appropriate therapeutic intervention, BCS is associated with substantial morbidity, with an estimated mortality rates surpassing 70% at one year and 89% at three years [5]. Therapeutic strategies are primarily directed at alleviating hepatic venous outflow obstruction to mitigate hepatic congestion, decrease disease-related morbidity, and enhance long-term survival [6].
Given that BCS is a pathophysiological condition with diverse underlying aetiologies, its management must be tailored based on both clinical presentation and anatomical factors. The American Association for the Study of Liver Diseases (AASLD) advocates for a tiered therapeutic strategy, initiating with pharmacologic interventions before considering more invasive procedures [7]. Since an identifiable underlying cause is present in approximately 80% of BCS cases, timely initiation of targeted medical therapy is imperative. Typically, this involves the administration of anticoagulants to counteract the prothrombotic state and inhibit further thrombus extension [6]. Nonetheless, evidence suggests that anticoagulation alone yields therapeutic success in only a minority of cases (approximately 18%), which highlights the frequent necessity for image-guided interventional procedures to re-establish hepatic venous outflow [6].
The management of Budd-Chiari syndrome (BCS) follows a stepwise therapeutic approach progressing from medical therapy to interventional procedures and ultimately liver transplantation in advanced disease. Medical management typically includes anticoagulation and thrombolytic therapy. Endovascular recanalization with angioplasty, with or without stent placement, is increasingly adopted as the preferred first-line interventional strategy in many clinical studies [8]. When recanalization is unsuccessful or technically unfeasible, transjugular or direct intrahepatic portosystemic shunt (TIPS/DIPS) procedures may be required to decompress portal hypertension. Direct intrahepatic portosystemic shunt (DIPS) is generally reserved for patients with failed recanalization attempts, refractory ascites, portal hypertension, variceal bleeding, or extensive hepatic vein obstruction [8].
Recanalization is a physiologically favorable intervention because it preserves native hepatic venous and inferior vena cava blood flow, thereby maintaining physiological hepatic perfusion. By restoring normal hepatic venous outflow without diverting portal blood away from the liver, it is associated with a lower incidence of hepatic encephalopathy compared with portosystemic shunting procedures [7]. In a systematic review and meta-analysis, recanalization was the most commonly adopted first-line endovascular strategy, accounting for 44.28% of included cases, which the authors attributed to its relative technical simplicity, rapidity, and favourable safety profile [8]. In contrast, TIPS or DIPS procedures create a portosystemic shunt that can reduce portal venous perfusion but also increases the risk of hepatic encephalopathy due to impaired hepatic clearance of ammonia following shunt creation [7].
Within recanalization strategies themselves, different technical approaches have been evaluated, particularly angioplasty alone versus angioplasty combined with stent placement. Clinical outcomes suggest superior secondary patency with recanalization incorporating stent placement compared with angioplasty alone. In a long-term series of hepatic vein interventions, cumulative secondary patency at 1, 5, and 10 years was 92%, 79%, and 79%, respectively, in the stenting group, compared with 69%, 69%, and 64% in the venoplasty-alone group [9]. More recent randomized data also showed that routine stenting was associated with markedly lower restenosis than angioplasty alone, with 3-year restenosis-free survival of 96.0% versus 60.4% [10].
Although recanalization remains the preferred first line interventional approach in anatomically suitable Budd-Chiari syndrome, TIPS and DIPS remain important second-line options when recanalization is not feasible or has failed. Long-term outcomes after TIPS in severe BCS are generally favorable, with good transplant-free survival reported in large multicentre series, and TIPS may improve survival in appropriately selected patients [6]. Liver transplantation remains the definitive rescue option for fulminant presentations or for patients with progressive liver failure despite endovascular therapy [3].
TIPS may, however, be technically unsuccessful in the setting of extensive hepatic vein thrombosis or inability to catheterize the hepatic veins. In such cases, DIPS provides an alternative means of portal decompression by creating a portocaval shunt between the IVC and the portal venous system, typically through the enlarged caudate lobe [6]. The most technically challenging step is localization and cannulation of the portal vein. For this reason, DIPS is usually performed with transabdominal or intravascular ultrasound guidance, often with fluoroscopic assistance, although in BCS the collateral venous channels may also serve as a roadmap to portal vein access [6].
In patients with Budd-Chiari syndrome, direct intrahepatic portosystemic shunt (DIPS) represents an important alternative to transjugular intrahepatic portosystemic shunt (TIPS), particularly in cases where hepatic vein thrombosis precludes successful TIPS placement. Long-term anticoagulation remains essential in these patients to reduce the risk of recurrent thrombosis and shunt occlusion. This case highlights the technical feasibility of performing DIPS in a tertiary care setting and further supports its role as a valuable endovascular option for the management of portal hypertension in complex Budd-Chiari syndrome.
The authors declare no competing interests.
All authors contributed to patient care and manuscript preparation. All authors read and approved the final version of the manuscript.
Table 1: hemodynamic pressures (mmHg) measured before and after DIPS placement
Figure 1: portal venography following needle introduction into the portal vein during DIPS creation
Figure 2: portal venography after advancement of the sheath into the portal venous system, demonstrating opacification of the portal vein branches
Figure 3: contrast venography revealing a large spontaneous left-sided splenorenal shunt arising from the portal venous system
Figure 4: post-procedural image demonstrating the partially covered stent graft creating a portocaval shunt between the portal vein and the inferior vena cava
Figure 5: venography following stent deployment demonstrating brisk flow through the newly created portocaval shunt with reduced flow through the previously visualized splenorenal shunt
- Ferral H, Behrens G, Lopera J. Budd-Chiari syndrome. AJR Am J Roentgenol. 2012 Oct;199(4):737-45. PubMed
- Aydinli M, Bayraktar Y. Budd-Chiari syndrome: etiology, pathogenesis and diagnosis. World J Gastroenterol. 2007 May 21;13(19):2693-6. PubMed | Google Scholar
- Janssen HLA, Garcia-Pagan JC, Elias E, Mentha G, Hadengue A, Valla DC; European Group for the Study of Vascular Disorders of the Liver. Budd-Chiari syndrome: a review by an expert panel. J Hepatol. 2003 Mar;38(3):364-71. PubMed | Google Scholar
- Artru F, Moschouri E, Denys A. Direct intrahepatic portocaval shunt (DIPS) or transjugular transcaval intrahepatic portosystemic shunt (TTIPS) to treat complications of portal hypertension: Indications, technique, and outcomes beyond Budd-Chiari syndrome. Clin Res Hepatol Gastroenterol. 2022 Apr;46(4):101858. PubMed | Google Scholar
- Martens P, Nevens F. Budd-Chiari syndrome. United European Gastroenterol J. 2015 Dec;3(6):489-500. PubMed
- Chandra V, Wajswol E, Shahid M, Kumar A, Contractor S. Direct Intrahepatic Portosystemic Shunt in Budd-Chiari Syndrome: A Case Report and Review of the Literature. Case Rep Radiol. 2018 Aug 23;2018:9261268. PubMed | Google Scholar
- DeLeve LD, Valla DC, Garcia-Tsao G; American Association for the Study Liver Diseases. Vascular disorders of the liver. Hepatology. 2009 May;49(5):1729-64. PubMed
- Mukhiya G, Zhou X, Han X, Jiao D, Pokhrel G, Li Y et al. Evaluation of outcome from endovascular therapy for Budd-Chiari syndrome: a systematic review and meta-analysis. Sci Rep. 2022 Sep 28;12(1):16166. PubMed | Google Scholar
- Tripathi D, Sunderraj L, Vemala V, Mehrzad H, Zia Z, Mangat K et al. Long-term outcomes following percutaneous hepatic vein recanalization for Budd-Chiari syndrome. Liver Int. 2017 Jan;37(1):111-120. PubMed | Google Scholar
- Wang Q, Li K, He C, Yuan X, Luo B, Qi X et al. Angioplasty with versus without routine stent placement for Budd-Chiari syndrome: a randomised controlled trial. Lancet Gastroenterol Hepatol. 2019 Sep;4(9):686-697. PubMed | Google Scholar







