Salmonella typhi liver abscess, an unsual complication in immunocompetent: case report
Khouloud Mnif, Rahma Daoud, Hana Chaabouni, Boussayma Hammami, Chakib Marrakchi, Salah Boujelben, Mounir Ben Jemaa
Corresponding author: Khouloud Mnif, Infectious Diseases Deparment, Hedi Chaker Hospital, Sfax, Tunisia 
Received: 24 Jun 2025 - Accepted: 11 Nov 2025 - Published: 13 Feb 2026
Domain: Infectious disease
Keywords: Liver abscess, Salmonella typhi, immunocompetent, case report
Funding: This work received no specific grant from any funding agency in the public, commercial, or not-for-profit sectors.
©Khouloud Mnif et al. PAMJ Clinical Medicine (ISSN: 2707-2797). This is an Open Access article distributed under the terms of the Creative Commons Attribution International 4.0 License (https://creativecommons.org/licenses/by/4.0/), which permits unrestricted use, distribution, and reproduction in any medium, provided the original work is properly cited.
Cite this article: Khouloud Mnif et al. Salmonella typhi liver abscess, an unsual complication in immunocompetent: case report. PAMJ Clinical Medicine. 2026;20:6. [doi: 10.11604/pamj-cm.2026.20.6.48434]
Available online at: https://www.clinical-medicine.panafrican-med-journal.com//content/article/20/6/full
Salmonella typhi liver abscess, an unsual complication in immunocompetent: case report
Khouloud Mnif1,&,
Rahma Daoud2, Hana Chaabouni1, Boussayma Hammami1, Chakib Marrakchi1, Salah Boujelben2, Mounir Ben Jemaa1
&Corresponding author
Salmonella (S) typhi, the causative agent of typhoid fever, can lead to various complications, one of which is the formation of liver abscesses. We present an unusual case of liver abscess complicating S. typhi cholecystitis in a 77-year-old patient without medical history. He did not present any digestive symptoms. A good clinical and radiological response was seen with both chirurgical drainage and antibiotic treatment. S. typhi liver abscess is a serious complication of typhoid fever that requires prompt recognition and management.
Salmonella is a gram-negative bacilli (BGN) of the familly Enterobacteriaceae. S. enterica serotype Typhi (S.typhi) and Paratyphi are the causative agent of typhoid fever [1]. The other serotypes, also known as non-typhoidal or minor salmonella are most frequently responsible for a digestive form [1]. After entering the blood stream, all organs are susceptibles and can manifest in a variety of clinical entities depending on the site of the localization. An acute systemic infection is common in developping countries with low socioeconomic levels and poor sanitary conditions [1]. We report a case of cholecystitis complicated by a S. typhi liver abscess in immunocompetent man.
Patient information: a 77-year-old male, a farm worker from a rural region. He was admitted in the visceral surgery department with a history of abdominal pain, diarrhea and vomiting for four days.
Timeline of current episode: he reported anorexia and weight loss for 1 month. He denied no history of systemic diseases and no history of travel.
Clinical finding: physical examination showed a temperature of 37,6°C, no pallor and no icterus. Abdominal examination showed abdominal distension with periumbilical pain and tympany. The rest of the examination revealed no abnormalities.
Diagnostic assessment: hematological investigations on admission revealed white blood cells count of 7.70 /µL ( normal range 4.00-10.00), hemoglobin 12,9 g/dl (normal range 13-15), platelet count 124 000/µL (normal range 150000-400000). Biochemical tests revealed total bilirubin of 8,1µmol/l (normal range 5-21), direct bilirubin 1,8 µmol/l (normal range 0.9-5,1), aspartate aminotransferase 67 IU/l (normal range 15-50), alanineaminotransferase 35 IU/l (normal range 14-50), alkaline phosphatase 68 IU/l (normal range 30-120), γ-guanosine triphosphate 61 IU/l (normal range 7-55) and C-Reactive Protein 80 mg/L (normal range <0,5).
Abdominal imaging: it showed gallbladder with a transverse diameter of 42 mm, a sludge and a calculus embedded in the cystic duct measuring 5 mm with parietal thickening at body level on the hepatic side, 7 mm thick at most, which is the site of a parietal defect communicating with a subcapsular fluid collection opposite segments IV and V, 23 mm thick at most and extending over approximately 75 mm. Densification of peri-vesicular and sub-hepatic fat (Figure 1).
Diagnosis: the results were consistent with liver abscess.
Therapeutic interventions: empirical antibiotic treatment with cefotaxim (1g 3 times daily), metronidazol (500mg 3 times daily) and gentamicin (240 mg daily single dose) was initiated. In addition, a surgical drainage and cholecystectomy were performed. During surgery, the examination of the abdominal cavity showed: an undistended gallbladder with a thick wall, perforated at the bottom and blocked by the epiploon, with pus coming out following its release, a 7 cm long subcapsular segment IV liver abscess, and a perihepatic serous effusion.
Follow-up and outcomes: a bacteriological sample of pus was taken. Macroscopically, the pus was purulent and hematic, and direct examination revealed numerous leukocytes, 85% of which are neutrophils. On the 5th day, the culture was positive for S. typhi wild-type. Blood culture was negative. The patient was transferred to infectious diseases department. Test for immunodeficiency virus (HIV) was negative. Antibiotic treatment was switched with ceftriaxon ( 2 g twice daily).
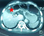
After five days, the patient was better, afebrile and asymptomatic. He was discharged home receiving oral ciprofloxacin (750 mg twice daily). After three months, on follow-up, he did not present complaints but the abdominal CT scan showed a hypodense hepatic collection surrounded by a wall enhanced after injection of contrast medium at the level of the vesicular bed measuring 53 x 28 mm (Figure 2). Sulfamethoxazole trimethoprim (800mg/160mg) 3 times daily was added to ciprofloxacin. On the 4th month, an ultrasound showed that the abscess was significantly decreased in size. We stopped the antibiotherapy. Three months later, an abdominal CT scan was performed, showed a complete disappearance of the abscess.
Patient perspective: the patient expressed satisfaction with the relief of symptoms and was informed of the importance of dietary hygiene.
Salmonella infection is a public health problem in many developing countries. It is a BGN of the family Enterobacteriaceae. The only species pathogenic to humans is salmonella enterica, which has several serotypes such as S. typhi, S. enteritidis, and S. paratyphi A. S. typhi is responsible for typhoid fever which is a potentially fatal infection [1]. In 2019, the estimated typhoid fever annual was about 9 million cases and 110,000 deaths in the world [2]. Gastroenteritis is the most common syndrome of S. typhi infection. However, it may occur in different clinical forms. Salmonella is generally transmitted through contaminated food or water. Humans are the only natural reservoirs and can be asymptomatic carriers [1]. Once ingested, Salmonella bacteria multiply and spread through the bloodstream. Bacteriemia is characterized by fever often lasting several weeks. Salmonella may localize to extra-intestinal sites in the body during bacteriemia [3]. Bacteremic and localized forms are observed in immunocompromised, malnourished, and in sickle-cell patients and vary in severity [3].
Secondary dissemination is considered accidental in an individual with normal immune status [4]. Several extra-intestinal localizations of Salmonella have been described, including urinary, vesicular, pulmonary, or meningeal [4]. Abdominal localization is the most common site of Salmonella infection. It includes splenic abscess, cholecystitis, cholangitis, liver abscess, pancreatic abscess, and peritonitis [3]. Forty-two percent of patients with intra-abdominal Salmonella had anatomic anomalies such as biliary anomalies, intrahepatic cholestasis, and cholangitis [3,5]. Cholecystitis was the most frequent manifestation described in a large series of intra-abdominal salmonellosis. So, Cholelithiasis may act as a predisposing factor for hepatic abscess formation in Salmonella carriers. S. typhi may also cause a chronic carrier state defined as the excretion of organisms for over a year [3]. For our literature review, we searched the biomedical database PubMed. In the literature from 2001 to 2024, S. typhi liver abscess is a rare complication described in 6 cases over 20 years (Table 1) [5-10]. The most commonly reported cases are males. Two patients had predisposing factor to develop S. typhi abscess. Liver abscess has similar symptoms and clinical aspect to other pyogenic abscess. All patients required percutaneous drainage associated with antibiotic treatment.
Salmonella is ubiquitous and is a worldwide public health problem. Gastroenteritis and fever are the most common symptoms of S. typhi. Liver abscess is a rare complication of Salmonella bacteremia. It is reported in immunocompromised patient but can be seen in immunocompetent patients, carriers of a biliary anomaly, or biliary lithiasis. Surgical or percutaneous drainage combined with appropriate antibiotic therapy, especially for large abscesses, resulted in a complete recovery. Although multidrug-resistant strains are emerging globally, most Salmonella serotypes, including S. typhi, remain susceptible to several antibiotics.
The authors declare no competing interests.
All the authors contribute to the management of the patient and approved the final version of the article.
Table 1: reported cases of Salmonella typhi liver abscesses (2001-2024)
Figure 1: (A, B, C, D) abdominal CT finding on admission: axial sections
Figure 2: course of liver abscess after surgical and 3 months of antibiotic treatment: axial section (red star)
- Huang DB, DuPont HL. Problem pathogens: extra-intestinal complications of Salmonella enterica serotype Typhi infection. Lancet Infect Dis. 2005 Jun;5(6):341-8. PubMed | Google Scholar
- World Health Organisation (WHO). Thyphoid. WHO. 2023. Accessed on January 8, 2026.
- Cohen JI, Bartlett JA, Corey GR. Extra-intestinal manifestations of salmonella infections. Medicine (Baltimore). 1987 Sep;66(5):349-88. PubMed | Google Scholar
- Hadrich S, Znazen A, Dabbech C, Arab NB, Mahjoubi F, Mnif J et al. Spondylodiscite a Salmonella enteritidis: à propos d'un cas et revue de littérature. Rev Tun Infect. 2009;3 (3):28-32.
- Ciraj AM, Reetika D, Bhat GK, Pai CG, Shivananda PG. Hepatic abscess caused by Salmonella typhi. J Assoc Physicians India. 2001 Oct;49:1021-2. PubMed
- Moralejo ML, Montero MJ, Fuertes A, de Las Heras JA, Jiménez A. Absceso hepático por Salmonella typhi [Liver abscess due to Salmonella typhi]. Enferm Infecc Microbiol Clin. 2002 Jan;20(1):41. Spanish. PubMed | Google Scholar
- Gömceli I, Gürer A, Ozdogan M, Ozlem N, Aydin R. Salmonella typhi abscess as a late complication of simple cyst of the liver: a case report. Turk J Gastroenterol. 2006 Jun;17(2):151-2. PubMed | Google Scholar
- Kabra S, Wadhwa V. Hepatic abscess caused by Salmonella typhi. Indian Pediatr. 2006 Jan;43(1):81-2. PubMed
- Gailson T, Pandit S. Salmonella liver abscess: an unusual complication of typhoid fever with hepatitis: a coinfection. International Journal of Contemporary Pediatrics. 2019 Sep;6(5):2212. PubMed | Google Scholar
- Neki NS, Jain A, Bajaj R, Kumar H, Chavan V. Hepatic Abscess Caused By Salmonella-A Case Report. Ann Int Med Dent Res. 2016;2(1):44-5.





