Single-stage en-bloc resection of locally advanced clear cell renal cell carcinoma invading the colon: a case report from The Gambia
Mustapha Babatunde, Ukandu Joshua Chibuzo, Olufemi Timothy Samuel, Ousman Leigh, Adegboye Adedotun Ademola, Olagbegi Oladele Feyisola, Olufemi Olubiyi, Safiatou Singhateh
Corresponding author: Mustapha Babatunde, Department of Surgery, Bafrow Medical Center, Serrekunda, The Gambia 
Received: 22 Jan 2026 - Accepted: 10 Feb 2026 - Published: 18 Feb 2026
Domain: General surgery
Keywords: Renal cell carcinoma, clear cell carcinoma, colon invasion, multivisceral resection, case report
Funding: This work received no specific grant from any funding agency in the public, commercial, or not-for-profit sectors.
©Mustapha Babatunde et al. PAMJ Clinical Medicine (ISSN: 2707-2797). This is an Open Access article distributed under the terms of the Creative Commons Attribution International 4.0 License (https://creativecommons.org/licenses/by/4.0/), which permits unrestricted use, distribution, and reproduction in any medium, provided the original work is properly cited.
Cite this article: Mustapha Babatunde et al. Single-stage en-bloc resection of locally advanced clear cell renal cell carcinoma invading the colon: a case report from The Gambia. PAMJ Clinical Medicine. 2026;20:9. [doi: 10.11604/pamj-cm.2026.20.9.51221]
Available online at: https://www.clinical-medicine.panafrican-med-journal.com//content/article/20/9/full
Case report 
Single-stage en-bloc resection of locally advanced clear cell renal cell carcinoma invading the colon: a case report from The Gambia
Single-stage en-bloc resection of locally advanced clear cell renal cell carcinoma invading the colon: a case report from The Gambia
Mustapha Babatunde1,&, Ukandu Joshua Chibuzo2, Olufemi Timothy Samuel2,
Ousman Leigh3,4,5,6, Adegboye Adedotun Ademola7, Olagbegi Oladele Feyisola8, Olufemi Olubiyi9, Safiatou Singhateh9
&Corresponding author
Renal cell carcinoma (RCC) accounts for approximately 2-3% of adult malignancies, with the clear cell subtype being the most common histological variant. Renal cell carcinoma frequently spreads hematogenously, while direct contiguous invasion into adjacent organs, such as the colon, is uncommon and sparsely reported. We report the case of a 49-year-old woman who presented with recurrent left flank pain of one-year duration associated with weight loss and anorexia. Imaging revealed a large heterogeneous left renal mass invading Gerota´s fascia and the distal transverse colon. She underwent successful single-stage en-bloc radical nephrectomy with transverse colectomy and primary colocolic anastomosis. Postoperative recovery was uneventful, and the patient was discharged on postoperative day five. Histopathology confirmed clear cell renal cell carcinoma with direct colonic invasion and positive lymph nodes (pT4N1), ISUP grade 4, with sarcomatoid and rhabdoid differentiation. This case demonstrates that en-bloc multivisceral resection is feasible and safe in selected patients, even in resource-constrained settings with multidisciplinary collaboration.
Renal cell carcinoma (RCC) accounts for approximately 2-3% of adult malignancies, with the clear cell subtype being the most common histological variant, representing about 75-80% of RCC cases. RCC commonly metastasizes hematogenously to the lungs, bones, liver, and brain, while direct contiguous invasion into adjacent organs such as the colon is uncommon and sparsely reported in the literature [1]. Small bowel invasion by renal cell carcinoma is rare, with reported incidences in the literature ranging from approximately 0.7% to 4% of metastatic cases, and symptoms related to gastrointestinal involvement are infrequent and often nonspecific, such as bleeding or obstruction [2,3]. Most renal cell carcinomas arise from the renal cortex, originating from the tubular epithelium of the nephron and collecting system. In contrast, malignancies of the renal pelvis are predominantly urothelial carcinomas and resemble bladder cancer in both histology and biological behavior [4,5]. Most renal cell carcinomas in the developed world are detected incidentally on cross-sectional imaging, including computed tomography, magnetic resonance imaging, or ultrasonography. Only approximately 10% of patients present with the classic triad of hematuria, flank pain, and a palpable mass. Systemic manifestations such as fever, weight loss, anemia, and leukocytosis are common, and up to 20% of patients develop paraneoplastic syndromes including hypercalcemia, polycythemia, hypertension, and, rarely, Cushing´s syndrome. Renal cell carcinoma may also rarely present with a left-sided varicocele due to obstruction of the left renal vein. Approximately 20-30% of patients present with metastatic disease at diagnosis, while a further 30-40% develop metastases during follow-up [6,7,8].
Patient and observation: a 49-year-old woman presented with recurrent left flank pain of one-year duration, insidious in onset and non-radiating. She had associated weight loss and anorexia. There was no history of hematuria, dysuria, change in bowel habit, or hematochezia. She had no known chronic medical illnesses and no significant family history. She was pale, well hydrated, and not in painful distress. The abdomen was full and moved with respiration. There was mild tenderness in the left lumbar region, and the left kidney was ballotable. The liver and spleen were not palpably enlarged. Other systemic examinations were unremarkable.
Timeline: the patient developed recurrent left flank pain approximately one year before presentation, associated with weight loss and anorexia. She presented to our facility, where initial clinical evaluation and abdominopelvic ultrasound suggested a renal mass. This was followed by contrast-enhanced computed tomography, which demonstrated a large left renal tumor with local invasion of the distal transverse colon. After preoperative optimization and multidisciplinary discussion, she underwent exploratory laparotomy with en-bloc radical nephrectomy and transverse colectomy with primary colocolic anastomosis. Postoperatively, the patient had an uneventful recovery and was discharged on the fifth postoperative day with subsequent outpatient follow-up and oncology referral.
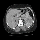
Diagnostic assessment: abdominopelvic ultrasound revealed a left renal mass that was not well characterized. Contrast-enhanced CT imaging demonstrated a large left renal mass arising from the inferior pole measuring approximately 14 x 10 x 9 cm with mixed solid and cystic components (Figure 1). The tumor was noted to infiltrate the collecting system, renal vein, Gerota´s fascia, and directly invade the distal transverse colon. Routine laboratory investigations were acceptable for surgery.
Therapeutic Intervention: the patient was resuscitated and optimized before surgery. Exploratory laparotomy revealed direct invasion of the distal transverse colon by the renal tumor. A single-stage en-bloc radical nephrectomy (Figure 2) with transverse colectomy (Figure 3) and primary colo-colic anastomosis was performed. The procedure was completed without intraoperative complications.
Follow-up and outcomes: postoperative recovery was uneventful, and the patient was discharged on postoperative day five. Histopathology showed clear cell renal cell carcinoma (Figure 4) with direct serosal invasion of the colon (Figure 5) and positive lymph nodes for metastasis (pT4N1), ISUP grade 4, with sarcomatoid (Figure 6) and rhabdoid differentiation (Figure 7). The patient is currently attending the surgical outpatient clinic with plans for targeted therapy.
Patient perspective: the patient expressed satisfaction with the care received and relief following resolution of her symptoms. She appreciated the multidisciplinary approach and timely surgical intervention. The patient consented to the publication of her clinical details for academic and educational purposes.
Patient consent: written informed consent was obtained from the patient for publication of this case report and accompanying images.
Direct invasion of the colon by renal cell carcinoma (RCC) is rare, with only isolated case reports and small case series described in the literature. Renal cell carcinoma (RCC) most commonly spreads hematogenously or via lymphatics, while true contiguous invasion into adjacent gastrointestinal structures such as the colon occurs infrequently [3]. Available evidence suggests that, in the absence of distant metastasis, en-bloc surgical resection of the kidney together with the involved bowel segment provides optimal oncologic control and may offer survival benefit in selected patients with locally advanced disease [9]. Multivisceral resection, although technically demanding, is feasible with acceptable morbidity when performed in appropriately selected patients [5]. Notably, patients with colonic invasion by RCC may not present with gastrointestinal symptoms, such as altered bowel habits or bleeding, as demonstrated in the present case [3]. This underscores the need for a high index of clinical suspicion, particularly when imaging demonstrates loss of fat planes between the kidney and adjacent bowel.
Furthermore, accurate preoperative assessment of tumor extent may be challenging, especially in resource-limited settings, where access to high-resolution imaging modalities may be restricted. In such environments, reliance on lower-resolution computed tomography scans may lead to underestimation of local tumor invasion, emphasizing the importance of careful intra-operative assessment and multidisciplinary surgical planning [10]. This case further demonstrates the feasibility of single-stage colonic resection with primary anastomosis in the setting of locally advanced renal cell carcinoma, even in the absence of formal bowel preparation, with a favorable postoperative outcome. Similar reports have shown that primary anastomosis can be safely performed in carefully selected patients when meticulous surgical technique and adequate intraoperative assessment are ensured [9]. The average age at presentation for clear cell renal cell carcinoma is approximately 60-65 years, with a male predominance reported in most series [8]. The index patient, aged 49 years, represents a relatively younger presentation, highlighting that aggressive disease may also occur outside the typical age range.
En-bloc resection of renal cell carcinoma with involvement of adjacent organs, including the colon, is generally recommended when complete macroscopic tumor clearance can be achieved. Although locally advanced RCC is associated with poor prognosis, reported five-year survival rates range between 10-20%, particularly in patients with nodal involvement or adverse histologic features, such as sarcomatoid and rhabdoid differentiation, as seen in the present case [10]. Multidisciplinary team (MDT) meetings play a crucial role in the diagnosis, staging, and management planning of such complex cases. A coordinated surgico-radiological approach, with active patient involvement in decision-making, allows for realistic discussion of operative risks, oncologic outcomes, and adjuvant treatment options, while ensuring appropriate preoperative preparation and resource mobilization, especially in resource-limited settings [5].
Clear cell renal cell carcinoma with direct colonic invasion is rare. En-bloc radical nephrectomy with colectomy performed as a single-stage procedure is a feasible and effective surgical option in carefully selected patients, particularly in the absence of distant metastasis. Early recognition, meticulous surgical technique, and multidisciplinary management are essential to achieving favorable outcomes.
The authors declare no competing interests.
Mustapha Babatunde: conceptualization, surgical management, drafting of manuscript. Ukandu Joshua Chibuzo: perioperative management and manuscript review. Olufemi Timothy Samuel: data acquisition and manuscript editing. Ousman Leigh: histopathology interpretation and critical revision. Adegboye Adedotun Ademola: oncologic input and manuscript review. Safiatou Singhateh: data collection and patient follow-up coordination. Olubiyi Olufemi: manuscript review. Oladele Olagbegi: manuscript editing. All authors have read and approved the final version of this manuscript.
Figure 1: contrast-enhanced CT scan showing a large heterogeneous left renal mass breaching the Gerota´s fascia
Figure 2: gross specimen demonstrating the renal tumor
Figure 3: gross specimen demonstrating point of invasion of the resected colonic segment
Figure 4: nests of clear cell separated by delicate vascular stroma (H&E 40X)
Figure 5: section of the colon showing point of invasion of the serosal (H&E 40X)
Figure 6: sarcomatoid component consist of spindle cells (H&E 40X)
Figure 7: foci of rhabdoid cells (H&E 40X)
- Saadaat R, Haidary AM, Ibrahimkhil AS, Abdul-Ghafar J. Metastatic renal cell carcinoma involving colon with unusual histologic features and diagnostic challenges: a case report. Int J Surg Case Rep. 2021;80:105627. PubMed | Google Scholar
- Mueller JL, Guyer RA, Adler JT, Mullen JT. Metastatic renal cell carcinoma to the small bowel: three cases of gastrointestinal bleeding and a literature review. Clin Case Rep. 2017;7(1):39-43. PubMed | Google Scholar
- Byrnes KG, Khan JS, Haroon UM, McCawley N, Cheema IA. Management of colon-invading renal cell carcinoma: operative technique and systematic review. Urol Ann. 2021;13(1):1-8. PubMed | Google Scholar
- Humphrey PA, Moch H, Cubilla AL, Ulbright TM, Reuter VE. WHO Classification of Tumours of the Urinary System and Male Genital Organs. Eur Urol. 2016 Jul;70(1):106-119. PubMed | Google Scholar
- Campbell SC, Lane BR. Malignant renal tumors. Campbell-walsh urology. 2012:1413-74. Google Scholar
- Motzer RJ, Jonasch E, Boyle S, Carlo MI, Manley B, Agarwal N et al. NCCN Guidelines Insights: Kidney Cancer, Version 1.2021. J Natl Compr Canc Netw. 2021;19(1):19-30. PubMed | Google Scholar
- Padala SA, Barsouk A, Thandra KC, Saginala K, Mohammed A, Vakiti A et al. Epidemiology of renal cell carcinoma. World J Oncol. 2020;11(3):79-87. PubMed | Google Scholar
- Minervini A, Serni S, Tuccio A. Local resection of adjacent organs in locally advanced renal cell carcinoma. Eur Urol. 2007;52(3):772-780.
- Kutikov A, Uzzo RG. The renal mass and locally advanced renal cell carcinoma. Semin Nephrol. 2008;28(2):155-167. PubMed
- Zisman A, Pantuck AJ, Wieder J, Chao DH, Dorey F, Said JW et al. Risk group assessment and clinical outcome algorithm to predict survival in patients with renal cell carcinoma. J Clin Oncol. 2002;20(23):4559-4566. PubMed | Google Scholar









