An atypical elbow fracture: a displaced Hahn fracture type 1

Naoufal Elghoul, Abdeloihab Jaafar

PAMJ-CM. 2019; 1:22. Published 22 Nov 2019 | doi:10.11604/pamj-cm.2019.1.22.20869

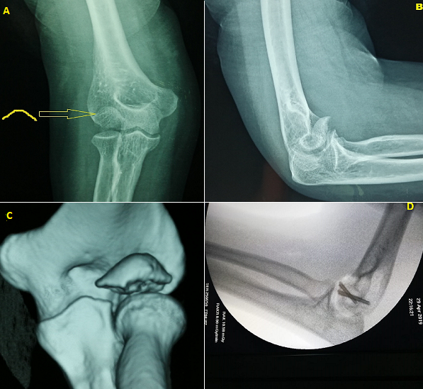
A 42-year-old man presented to the emergency department for pain at his right elbow following a fall from a bicycle onto the outstretched hand. A radiograph of the elbow was performed then an oral analgesic was prescribed with splint elbow to body. At home, the pain has decreased in intensity but it increased when he mobilized his elbow. 3 days later, he consulted our department of orthopedics for the persistence of elbow pain. Upon admission, physical examination revealed mild swelling and tenderness over the lateral aspect of the distal part of his humerus. Mobilization of the elbow was painful. The neurovascular exam was normal. X-rays of the elbow showed a displaced capitellar fracture (A, B). 3D computed tomography confirmed the type I Hahn fracture with no other lesion (C) prompting the patient to undergo surgery. A lateral approach was performed. The intra-operative aspect showed a separated capitellum from the humeral shaft then an internal fixation of the fracture using two Herbert screws was performed (D). The patient was reviewed one week later; the physical examination found no infection and neurovascular examination was normal, the x-ray control was good and rehabilitation of the elbow allowed. At three months of follow up, our patient presented a good outcome with no pain and he had regained full activities.
Corresponding author
Naoufal Elghoul, Orthopedic Surgery and Traumatology, Department of Orthopedic Surgery and Traumatology, Military Hospital Mohammed V (HMIMV), Faculty of Medicine and Pharmacy, Mohammed V University, Rabat, Morocco (naoufal.elghoul@gmail.com)

This image

Articles published in PAMJ-CM are Open Access and distributed under the terms of the Creative Commons Attribution 4.0 International (CC BY 4.0).

eISSN: 2707-2797


The PAMJ Clinical Medicine (ISSN: 2707-2797) is a subsidiary of the Pan African Medical Journal. The contents of this journal is intended exclusively for professionals in the medical, paramedical and public health and other health sectors.

Currently tracked by: DOAJ, AIM, Google Scholar, AJOL, EBSCO, Scopus, Embase, IC, HINARI, Global Health, PubMed Central, PubMed/Medline, ESCI

Physical address: Kenya: 3rd Floor, Park Suite Building, Parkland Road, Nairobi. PoBox 38583-00100, tel: +254 (0)20-520-4356 | Cameroon: Immeuble TechnoPark Essos, Yaounde, PoBox: 10020 Yaounde, tel: +237 (0)24-309-5880