De l’air dans le cerveau

Hassan Doulhousne, Redouane Roukhsi

PAMJ-CM. 2019; 1:28. Published 28 Nov 2019 | doi:10.11604/pamj-cm.2019.1.28.20983

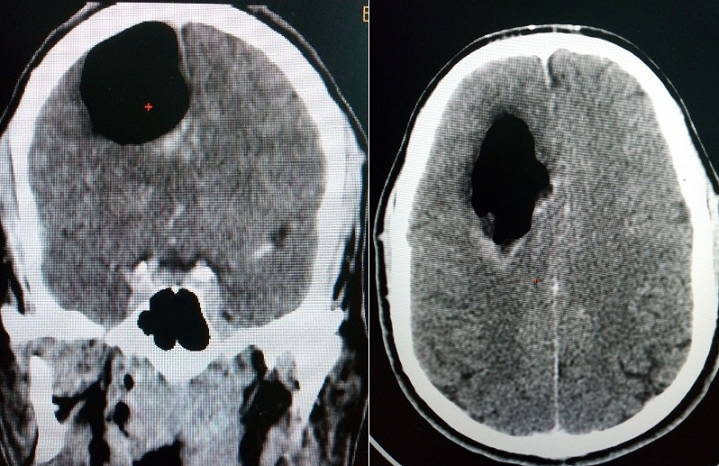
Il s´agit d´un patient de 34 ans, sans antécédents particuliers, admis aux urgences pour des troubles de conscience dans un contexte fébrile avec un important syndrome infectieux biologique. Le scanner cérébral met en évidence une volumineuse lésion aérique du centre semi-ovale droit (pneumocéphale), entourée d´un fin liseré œdémateux hypodense avec un léger effet de masse sur la ligne médiane et le parenchyme de voisinage. L´évolution a été marquée par l´aggravation de l´état et le décès du patient dans les 48 heures en milieu de réanimation pour défaillance multi-viscérale sur choc septique.
Corresponding author
Hassan Doulhousne, Service de Radiologie, 5<sup>ème</sup> Hôpital Militaire, Guelmim, Maroc (dr.dhassan83@gmail.com)

This image

Articles published in PAMJ-CM are Open Access and distributed under the terms of the Creative Commons Attribution 4.0 International (CC BY 4.0).

eISSN: 2707-2797


The PAMJ Clinical Medicine (ISSN: 2707-2797) is a subsidiary of the Pan African Medical Journal. The contents of this journal is intended exclusively for professionals in the medical, paramedical and public health and other health sectors.

Currently tracked by: DOAJ, AIM, Google Scholar, AJOL, EBSCO, Scopus, Embase, IC, HINARI, Global Health, PubMed Central, PubMed/Medline, ESCI

Physical address: Kenya: 3rd Floor, Park Suite Building, Parkland Road, Nairobi. PoBox 38583-00100, tel: +254 (0)20-520-4356 | Cameroon: Immeuble TechnoPark Essos, Yaounde, PoBox: 10020 Yaounde, tel: +237 (0)24-309-5880